试题详情
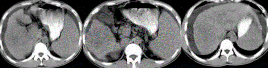
- 单项选择题男性,35岁。有乙肝病史多年, AFP阳性,影像检查如图所示, 最可能的诊断是

A、肝硬化、腹水
B、肝血管瘤
C、肝脓肿
D、肝癌、肝硬化、腹水
E、肝硬化,结节性增生
关注下方微信公众号,搜题查看答案

热门试题
- 下列脾脏病变,哪些可以出现钙化 (
- 下列肝肿瘤发病特点,错误的是 (
- 1、患者需要做哪些检查2、经胸片检查发现
- “腹部平片”观察不到的结构是 (
- 下列“肝血管瘤”MRI特点,错误的是
- 胃肠道穿孔最常见的原因是A、腹腔脓肿B、
- 患者有外伤史,下面哪个诊断最合适 (
- 患者溃疡性结肠炎并最近黄疸发作,结合图像
- 多血供性肝转移者,原发灶常为 (
- 关于肠系膜上静脉血栓形成,正确的描述是(
- 根据所提供的图像,可除外下列哪种诊断
- 患者中年,男性, 黄疸,ERCP术后,
- 增殖型肠结核引起肠腔狭窄的主要原因是A、
- 女,35岁, 体检发现右上腹包块,有口服
- 下列关于腹膜后脂肪肉瘤的描述,正确的是
- ERCP的正确说法是A、经皮肝穿胆道造影
- 女,50岁, 血便10余年,加重1年(连
- 下列疾病临床特点描述,错误的是 (
- Freeny的肝血管瘤CT诊断三条标准为
- 下列关于脾血管瘤的不正确说法是A、均匀的