试题详情
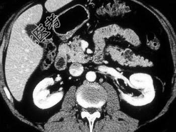
- 单项选择题对于胰尾病灶,结合图像, 最可能的诊断是 ( )

A、腺癌
B、转移癌
C、假性囊肿
D、胰腺粘液性囊腺瘤
E、脂肪瘤
关注下方微信公众号,搜题查看答案

热门试题
- 关于胆管细胞癌错误的是A、为肝脏恶性肿瘤
- T1加权像肝脏病变表现为近似水信号的是
- 根据所提供的图像,可除外下列哪种诊断
- 大多数结肠癌的病理类型是 ( )
- 下列不是慢性胃溃疡恶变的征象的是A、龛影
- 男,19岁, 腹胀,腹部隆起半年余, C
- 根据所提供的图像,该病例最可能的诊断为
- 结合图像,该胰腺团块, 最不可能的诊断为
- 胃癌的好发部位依次是A、 贲门、胃窦、胃
- 男,26岁, 发热,腹痛1周, 白细胞明
- 不同加权像上,肝内病灶形态、大小互不相同
- 下列“胃溃疡”所见,哪项提示溃疡为恶性
- 下述小儿“肠套叠”临床特点,错误的是
- 如图所示,该病的鉴别诊断包括以下所有的,
- 下列哪项不包括在腹膜后的肾前间隙内
- 十二指肠癌较罕见发生在哪段 (
- 在肝转移癌中,多血供型转移的是 (
- 胃肠道支架置入术的禁忌证有 (
- 患者,男性,32岁。突发上腹痛1个月,疼
- 女,49岁, 脐周疼痛近1个月,大便有时