试题详情
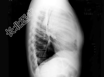
- 单项选择题女,13岁, 发热、乏力数天,X线检查如图, 最可能的诊断是 ( )

A、胸腺瘤
B、淋巴瘤
C、畸胎瘤
D、间皮囊肿
E、神经源性肿瘤
关注下方微信公众号,搜题查看答案

热门试题
- 中央型肺癌的X线表现描述不正确的是A、肺
- 患者,男,45岁,咳嗽,咳痰,高热(39
- 女,32岁, 感胸闷、胸痛,X线检查如图
- 血源性肺脓肿最多的部位是A、肺尖较多B、
- 关于肺梗塞CT表现哪项不正确 (
- 肺部急性炎症反应主要病理改变是A、钙化B
- 纵隔肿瘤中,见不到钙化的是A、畸胎类肿瘤
- 1、首先考虑的诊断是 ( )2、
- 肺放线菌病的CT表现为下述哪些 (
- 男,64岁, 咳嗽半月,咯血1天, 不发
- 患儿,男, 1天,生后呼吸困难, 羊水见
- 下列有关Gd-DTPA的临床应用,错误的
- 男,21岁, 高热1周伴胸痛,胸片如图,
- 患者,男,23岁。低热,右胸刺痛,活动后
- 下列支原体肺炎的描述,错误的是 (
- 畸胎类肿瘤描述错误的是( )。A、多
- 肺炎球菌肺炎患者,在抗生素治疗下热退又再
- 1、在提供的CT平扫图像上,可观察到下列
- 下述肺间质病变CT表现,错误的是 (
- 心脏MRI不适用于 ( )A、室