试题详情
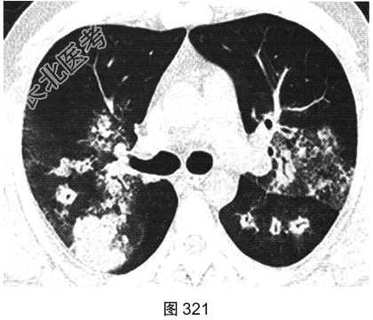
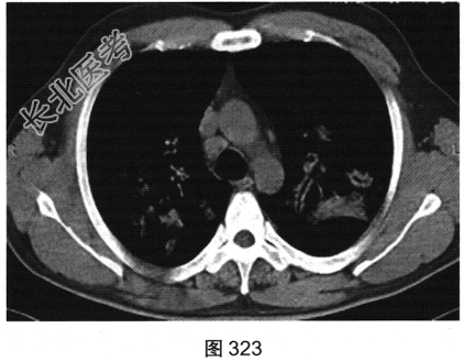
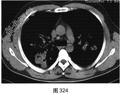
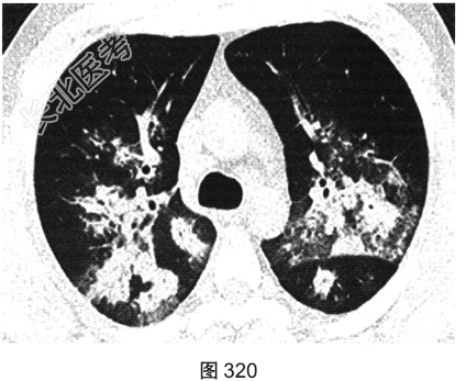
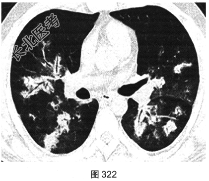
- [材料题] 患者男性,30岁,发作性咳喘3年,吸入冷空气后鼻塞、流黄白色脓涕,外院予环丙沙星治疗后症状缓解,其后鼻塞,夜间睡眠中喘憋反复发作;咯血、发热1周,以傍晚和夜间为著,体温最高为38.5℃,伴畏寒及周身疼痛,痰中带血,为鲜红色,伴胸痛、咳嗽,喘憋明显。胸部CT检查如图319~图324所示。




- 多项选择题1.在提供的CT平扫图像上,可观察到下列哪些影像学征象( )
A、晕征
B、双肺结节影
C、小叶间隔增厚
D、反晕征
E、小叶中心结节
F、双肺磨玻璃影、斑片实变影
G、支气管壁增厚、管腔扩张、支气管充气征
关注下方微信公众号,搜题查看答案

- 多项选择题2.该患者病变的主要分布特点为( )
A、肺中央分布为主
B、肺外周分布为主
C、支气管血管束周围分布为主
D、上肺分布为主
E、随机分布
F、下肺分布为主
关注下方微信公众号,搜题查看答案

- 多项选择题3.[提示]患者血常规示嗜酸性粒细胞明显升高,红细胞沉降率、CRP升高, ANCA(-),尿常规示蛋白尿、血尿。既往3~5年前有多次接触强烈刺激性气体(玻璃胶)暴露史、过敏史, 鼻窦炎病史2年。肺功能检查示阻塞性通气功能障碍。根据上述临床资料与CT表现特点,患者最可能的诊断为( )
A、淋巴瘤
B、血管炎
C、慢性嗜酸性粒细胞性肺炎
D、病毒感染
E、真菌感染
F、炎性肺癌
关注下方微信公众号,搜题查看答案

- 多项选择题4.下列哪些疾病可以出现反晕征( )
A、机化性肺炎
B、非特异性间质性肺炎
C、肺结核
D、肺栓塞
E、结节病
F、真菌感染
关注下方微信公众号,搜题查看答案

热门试题
- 下述空泡征知识,哪项不对 ( )
- 该患者的最可能的诊断为 ( )
- 除哪项外,肺泡蛋白沉积症应与下述哪种疾病
- 肺门缩小的X线表现描述正确的是A、肺门密
- 肺间质纤维化可见于 ( )A、
- 50岁男性,咳嗽、痰中带血3月余。胸片示
- 以下关于膈肌肿瘤的特点,叙述正确的是(
- 男,20岁, 胸闷、低热1月余,突然咯血
- 男,19岁, 咳嗽、发热1周余,X线检查
- 支气管肺炎的好发部位A、两肺上野B、两肺
- 1、上图X线平片所示异常包括2、该患者的
- 胸片上,肺内网状、蜂窝状阴影可见于
- 引起膈肌改变的疾病包括A、纵隔病变B、腹
- 炎性假瘤影像学表现为A、肺内孤立结节,无
- 下列哪项是诊断肺癌敏感性最高的检查方法
- 患者,男, 46岁,无明显诱因出现胸痛,
- 患儿,男, 1天,生后呼吸困难, 羊水见
- 下列有关石棉肺的说法,正确的是A、较滑石
- 关于组织细胞增生症X线检查的描述,下列错
- 1、分析上述病例,你认为最可能的诊断是2