试题详情
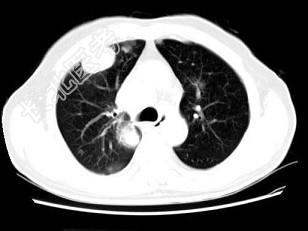
- 单项选择题男,64岁, 咳嗽半月,咯血1天, 不发热,结合图像, 最可能的诊断是 ( )

A、金葡菌肺炎
B、肺转移瘤
C、肺结核
D、结节病
E、组织胞浆菌病
关注下方微信公众号,搜题查看答案

热门试题
- 患者60多岁,男性, 胸部不适加重,最可
- 发现和诊断纵隔支气管囊肿最有价值的检查是
- 男,12天。呼吸困难, 哭闹不止。X线检
- 关于肺动脉栓塞的CT表现,下列哪项最具有
- 中央型肺癌病理分型按发病率由多到少排列,
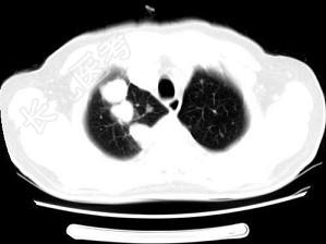
- 某前列腺癌患者治疗后复查胸部CT如下图所
- 属于大叶性肺炎CT表现的是A、空气支气管
- 肺静脉高压诊断的重要指征是 (
- 国际劳工组织的肺尘埃沉着症X线片分类中,
- 中央型肺癌的间接X线征象是A、肺门区肿块
- 肺癌中易于发生肺内及胸膜转移的组织学类型
- 关于新生儿肺透明膜病的影像表现,下列描述
- 游离性胸腔积液在胸部X线平片上可见到,一
- 下列关于急性肺脓肿的描述,不正确的是
- 小叶性肺炎发病开始后多少小时内,往往没有
- 在早期周围型肺癌中,"小泡征"常见于A、
- 关于气胸下列哪项正确 ( )A
- 标准立位胸片,气胸线位于肺野外1/3处,
- 患者60岁,男,体检胸片发现异常,CT检
- 胸片示厚壁空洞性病变,则可除外A、支气管