试题详情
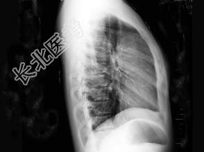
- 单项选择题女,32岁, 感胸闷、胸痛,X线检查如图, 最可能的诊断是 ( )

A、畸胎瘤
B、胸腺瘤
C、淋巴瘤
D、胸骨后甲状腺肿
E、神经源性肿瘤
关注下方微信公众号,搜题查看答案

热门试题
- 患者,女性, 58岁。发热3个月余,“发
- 进展期中央型肺癌的X线表现中,直接征象是
- 以下征象中不支持纵隔肿瘤诊断的是A、呼吸
- 肺转移瘤中呈小结节及粟粒病变者多见于
- 女,52岁, 感胸痛2月余,无发热, X
- 中央型肺癌的间接X线征象是A、肺门区肿块
- 下列关于肺栓塞的说法正确的是A、肺栓塞常
- 急性粟粒性肺结核的X线表现为A、发病初期
- 关于胸腺瘤与胸腺增生的鉴别要点,下列说法
- 胸部最基本的扫描平面为A、斜冠状位B、斜
- 关于肿瘤复发及放射性肺炎的说法,错误的是
- 女,26岁, 体检发现右中肺野病变,胸片
- 囊状肺动静脉瘘的典型X线表现为 (
- 临床疑支气管扩张,首选检查A、CT平扫B
- 男,28岁,突发呼吸困难,结合图像,最可
- 肺结核大于5mm的小结节多为( )。
- 下列哪项不是大叶性肺炎的X线表现A、局限
- 肺放线菌病的特点包括A、可穿透胸壁形成窦
- 下列结缔组织病中,哪些可出现胸膜增厚、胸
- 下列矽肺知识,错误的是 ( )A