试题详情
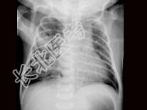
单项选择题患儿,男, 1天,生后呼吸困难, 羊水见胎粪污染,如图, 最可能的诊断为 ( )

A、新生儿肺炎

B、新生儿湿肺

C、新生儿肺出血

D、新生儿呼吸窘迫综合症

E、胎粪吸入综合征

  • 关注下方微信公众号,搜题查看答案

热门试题