试题详情
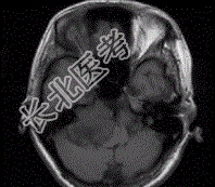
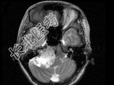
- 单项选择题女,45岁, 右耳听力下降半年余,CT检查如图, 最可能的诊断是

A、继发性胆脂瘤
B、脑膜瘤
C、三叉神经瘤
D、原发性胆脂瘤
E、听神经瘤
关注下方微信公众号,搜题查看答案

热门试题
- 男,15岁, 面部有皮脂腺瘤,癫痫, 智
- 关于皮样囊肿CT表现的描述,错误的是
- 不属于NF-Ⅰ型神经纤维瘤CT表现的是
- 关于第六脑室的描述,下列哪项是错误的
- 男,38岁, 头痛半年余,MRI检查如图
- 下列哪类肿瘤一般不发生钙化 (
- 星形细胞瘤的影像学表现,不正确的是(
- 听神经瘤的特点包括A、可仅引起内听道扩大
- 不是硬膜下出血原因的是 ( )A
- 男,52岁, 感头痛2周余,根据所提供图
- 女,32岁, 闭经泌乳半年。CT冠状扫描
- 10岁以下儿童最常见的颅内恶性肿瘤是
- 关于脑灰质异位,叙述错误的是( )A
- 结节性硬化的特征性钙化结节发生在 (
- 哪一项不是畸胎瘤的特征性CT表现A、瘤体
- 男,25岁, 慢性腰痛伴间歇性跌倒半年,
- 女,47岁, 左眼球突出伴视力下降半年,
- 肺癌术后1年,头痛、呕吐、言语不灵, 左
- 男,13岁, 头痛,呕吐1月余, MRI
- 女,62岁, 头痛数年,头颅MRI检查如