试题详情
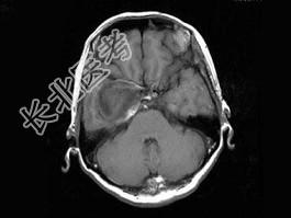
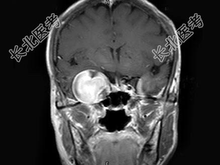
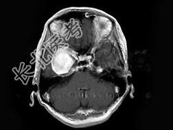
- 单项选择题女,62岁, 头痛数年,头颅MRI检查如图, 最可能的诊断是 ( )

A、脑膜瘤
B、动脉瘤
C、脑出血
D、转移瘤
E、未见异常
关注下方微信公众号,搜题查看答案

热门试题
- 关于垂体脓肿影像学表现,错误的描述是(
- 颅内动脉瘤按病因分类可分为 (
- 平扫天幕与大脑镰可见V、Y、M形,幕上的
- 下列属于投射纤维 ( )A、前连
- 男,45岁, 共济失调伴癫痫发作,结合图
- 能产生脑脊液的是A、侧脑室B、第三脑室C
- 下列与外侧裂不相邻的结构是 (
- 男,49岁, 癫痫发作3次。CT示左额叶
- 关于胆脂瘤的CT表现,哪一项是错误的A、
- 患儿,男,12岁。CT示松果体区肿瘤,内
- 脑外占位病变的CT定位表现为 (
- 1、应该首先做何种检查A、X线片B、EC
- 关于三叉神经瘤描述,下列哪项是错误的
- 下述室管膜瘤的诊断要点哪些正确A、CT平
- 正常生理性基底节钙化主要分布在 (
- “脑包虫病”诊断要点,下述哪项错误
- 女性脑转移瘤多来自于哪种原发肿瘤 (
- 1、该病例病变的定位诊断是A、脑内病变,
- 男,62岁, 有肺癌史,头痛、恶心、呕吐
- 下列对垂体微腺瘤的CT放大动态扫描特点的