试题详情
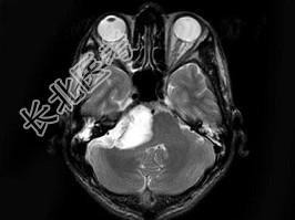
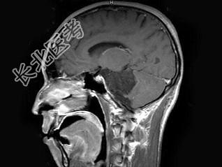
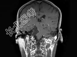
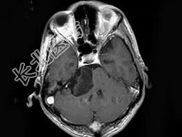
- 单项选择题男,38岁, 头痛半年余,MRI检查如图, 最可能的诊断是 ( )

A、听神经瘤
B、三叉神经瘤
C、表皮样囊肿
D、皮样囊肿
E、未见异常
关注下方微信公众号,搜题查看答案

热门试题
- 男,27岁, 常有手、臂的自发性疼痛、麻
- 如图箭头所示为大脑哪个部位 (
- 下列对垂体微腺瘤的CT放大动态扫描特点的
- 异常脑MRI分析正确的有 (
- 正常髓鞘的脱髓鞘疾病下列哪些正确 (
- 女,10岁, 头痛,视力下降2个月, M
- 按WHO分级标准,室管膜下巨细胞性星形细
- 女,38岁, 右眼视力失明2年,左眼视力
- CT示鞍上池囊实性占位病变,囊壁可见蛋壳
- 男,46岁, 面部肌肉麻木、疼痛,咀嚼困
- 女性,21岁, 部分性癫痫,MR表现如下
- 女,13岁, 皮肤有多发结节和多发棕色素
- 关于髓母细胞瘤的描述,下列哪项错误
- 关于胶质瘤,叙述错误的是( )A、W
- 1、依据患者病史主要考虑的癫痫类型为(
- 男,45岁, 共济失调伴癫痫发作,结合图
- 消除截面伪影的方法有A、增加矩阵大小B、
- 增强CT扫描脑底动脉环强化显示为 (
- 关于脑脓肿的描述,错误的是 (
- 下列哪项不符合Ⅱ级星形细胞瘤与胶质母细胞