试题详情
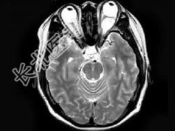
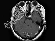
- 单项选择题女,47岁, 左眼球突出伴视力下降半年,MRI平扫及增强扫描见眶内占位性病变, 最可能的诊断是 ( )

A、眼眶内血管瘤
B、视神经胶质瘤
C、脑膜瘤
D、炎性假瘤
E、未见异常
关注下方微信公众号,搜题查看答案

热门试题
- 1、病变的诊断为2、关于室管膜下巨细胞星
- 新生儿缺氧性脑病,CT呈现的"双圈征"是
- 下列关于髓母细胞瘤的描述,下列哪项是错误
- 关于脑肿瘤MRI信号特点的描述,哪项不对
- 男性,7岁, 头痛呕吐2月余。CT显示小
- 女,13岁, 20天前有外伤史,近1周头
- 小脑血管母细胞瘤和囊性星形细胞瘤的CT鉴
- 半卵圆中心是下列哪一组神经纤维组成的
- 下列鞍区肿瘤平扫实性密度影为 (
- 下列不经过海绵窦内的脑神经为A、动眼神经
- 脑挫裂伤的CT征象有 ( )
- 男,12岁,头痛5天CT平扫示右侧裂池和
- 12岁儿童,间断性头痛1月, MRI显示
- 胶质母细胞瘤的鉴别诊断包括 (
- 男,12岁, 头痛,复视, 结合图像,最
- 女,45岁, 右侧听力下降半年。CT示左
- 有关脑内海绵状血管瘤的描述,下列哪项不正
- 关于三叉神经瘤描述,下列哪项是错误的
- 小脑扁桃体位置变异较大,可突入枕骨大孔,
- 男,35岁,剧烈头痛2天,临床拟诊为急性