试题详情
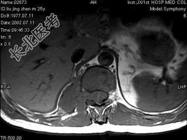
- 单项选择题男,25岁, 慢性腰痛伴间歇性跌倒半年,双下肢无力不能行走1月, MRI见下胸段椎管内肿瘤呈“哑铃”状应诊断为 ( )

A、神经鞘瘤
B、神经纤维瘤
C、脊膜瘤
D、胶质瘤
E、未见异常
关注下方微信公众号,搜题查看答案

热门试题
- 下列脑挫裂伤描述,下列哪项是错误的
- 女性脑转移瘤多来自于哪种原发肿瘤 (
- 脑外伤性脑内血肿描述,下列哪项是错误的A
- 肺癌术后1年,头痛、呕吐、言语不灵, 左
- MRI对甲状旁腺腺瘤的检出率可达 (
- 男,36岁, 1周前出现全身发热、头痛、
- 1、患者入院后应优先选择以下哪些常规检查
- 患儿,男,10岁。MRI示第四脑室内一边
- 下列哪些可在X线平片上形成伪影 (
- 烟雾病CT平扫的表现为A、蛛网膜下腔出血
- 颅内高压的X线表现是A、颅缝分离B、颅板
- 可能引起临近颅骨增厚的是( )A、少
- “Leigh病”的诊断要点下列哪项错误
- 男,45岁, 共济失调伴癫痫发作,结合图
- 如图箭头所示为大脑哪个部位 (
- 皮肤出现色素斑,很有可能是( )A、
- 颈内动脉的分支有A、眼动脉B、后交通动脉
- 1、该患者拟行颅脑MRI检查,应扫描的序
- 肾上腺营养不良性脑白质病CT多表现为两侧
- 关于垂体腺瘤,下列描述正确的是( )