试题详情
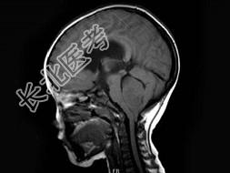
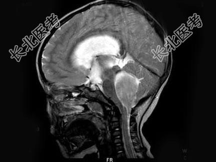
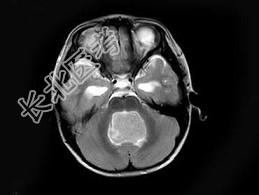
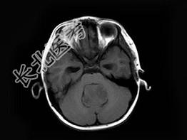
- 单项选择题女,3岁, 头痛4个月,MRI平扫及增强扫描, 最可能的诊断为 ( )

A、第四脑室脑膜瘤
B、第四脑室室管膜瘤
C、第四脑室乳头状瘤
D、第四脑室星形细胞瘤
E、未见异常
关注下方微信公众号,搜题查看答案

热门试题
- 关于髓母细胞瘤的描述,下列哪项错误
- 大脑后动脉主要供血区为A、额叶B、枕叶及
- 男,51岁, 1个月前开始头痛,头昏,
- 注射Gd-DTPA后,下列描述的肿瘤,
- 女,55岁, 1年前出现头痛,头昏, 症
- 增强CT扫描脑底动脉环强化显示为 (
- 男,22岁, 耳后见一直径约2cm黑痣,
- “Dandy-Walker综合征“,下列
- 根据脑分裂的程度,前脑无裂畸形主要分为A
- 小脑囊实性肿瘤,壁结节轻度强化,周围轻度
- 关于侵袭性垂体瘤容易侵犯的结构,叙述正确
- 位于中颅窝的孔或裂为A、筛孔B、舌下神经
- 关于烟雾病,下列正确的是A、反复发作、单
- “结核瘤”,脑CT表现下述哪项不对
- 1、根据患者MRI T1WI和T2WI图
- 关于颅内表皮样囊肿的描述,错误的是A、好
- 下列CT表现中,不支持颅内表皮样囊肿诊断
- 垂体大腺瘤的CT表现中,下列哪项是错误的
- 外伤性CCF最常见的三大临床表现为
- 男,16岁,视力下降4个月,双目失明10