试题详情
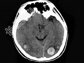
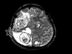
- 单项选择题男,22岁, 耳后见一直径约2cm黑痣,表现有溃烂, 近期增大明显,头痛1周, 伴咳嗽、胸闷,行头颅CT及MRI检查见颅内多发病灶, 最可能的诊断为 ( )

A、黑色素瘤脑转移
B、肺癌脑转移
C、多发胶质瘤
D、颅内多发脑出血
E、未见异常
关注下方微信公众号,搜题查看答案

热门试题
- 下列属于投射纤维 ( )A、前连
- 蛛网膜下腔出血首选的检查方法应为A、MR
- 表皮样囊肿可分脑内型和脑外型两种,前者常
- 关于颅内硬膜下血肿,下列说法错误的是A、
- 以下关于脊柱CT平扫技术,叙述正确的是(
- 颅底位可显示A、圆孔B、卵圆孔C、破裂孔
- 男,38岁, 外伤后半个月,行CT复查如
- 垂体瘤不易发生A、沿脑脊液种植B、出血、
- 男,59岁, 半月前与人打架后感头痛头昏
- “结核瘤”,脑CT表现下述哪项不对
- 蛛网膜囊肿的好发部位依次为 (
- 男,59岁, 右眼视力缺陷,结合图像,
- 下列颅内出血急性期的描述中,错误的是
- 发生在桥小脑角区肿瘤中无强化的是A、三叉
- 男,27岁, 头痛、双眼视力下降、多饮、
- 硬膜外型海绵状血管瘤多发生于 (
- 女,22岁, 双侧听力下降伴头痛头昏近1
- 1、可能的诊断为2、关于该病的描述,错误
- 平片上,蝶鞍增大和(或)破坏表现见于下述
- 女性,21岁, 部分性癫痫,MR表现如下