试题详情
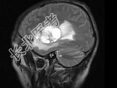
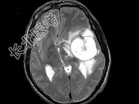
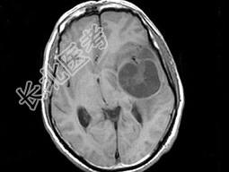
- 单项选择题男,51岁, 1个月前开始头痛,头昏, 根据所提供图像,最可能的诊断是 ( )

A、血管母细胞瘤
B、动脉瘤
C、少枝胶质细胞瘤
D、胶质瘤
E、转移瘤
关注下方微信公众号,搜题查看答案

热门试题
- 患者男性,30岁, 车祸后昏迷入院。CT
- 垂体瘤的CT表现正确的是A、蝶鞍扩大B、
- 1、该患者最有可能的诊断是( )。A
- 脑膜炎MRI的特点下列表现哪项正确
- 患儿,男,12岁。CT示松果体区肿瘤,内
- 有关脑内海绵状血管瘤的描述,下列哪项不正
- 结节性硬化患者在头颅X线平片或CT扫描发
- 男,15岁, 2个月前无明显诱因出现头痛
- 女,41岁, 头痛,头晕, 走路不稳1个
- 以下有关渗透性髓鞘溶解症(ODMS)的诊
- 硬膜下血肿的CT征象为A、慢性期表现为颅
- 婴幼儿,女, 比同龄孩子头大,结合图像,
- 有关中耳胆脂瘤的描述,哪项是错误的
- 以下有关多发性硬化的病因叙述,不正确的是
- 关于第六脑室的描述,下列哪项是错误的
- 关于颅咽管瘤的病理特征,下列描述不正确的
- 尾状核头位于 ( )A、内囊前肢
- 慢性硬膜下血肿与硬膜下积液(水瘤)的鉴别
- 异常脑MRI分析正确的有 (
- 后颅窝占位病变可引起下列哪种 (