试题详情
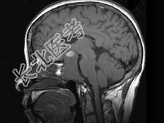
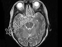
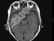
- 单项选择题女,55岁, 1年前出现头痛,头昏, 症状间断性加重,半年后出现视物模糊, 且视力逐步下降,以右侧为甚, 根据所提供图像,最可能的诊断是 ( )

A、动脉瘤
B、颅咽管瘤
C、垂体腺瘤
D、脑膜瘤
E、神经纤维瘤
关注下方微信公众号,搜题查看答案

热门试题
- 新生儿缺氧性脑病,CT呈现的"双圈征"是
- 1、根据患者的临床表现,应优先选择以下哪
- 关于多发性硬化的描述错误的是 (
- 女,65岁, 两个月前牙齿松动,自行拔除
- 男,41岁, 左枕部疼痛,右侧肢体乏力,
- 下列X线平片表现中,哪项与颅内肿瘤无关
- 9个月女婴,头颅迅速增大, 四肢肌力下降
- 有关Ⅲ级星形细胞瘤的MRI表现,下列哪项
- 女,58岁, 突发走路不稳1天,MRI检
- 细胞毒性水肿常见于 ( )A、肿
- 1、以下叙述不正确的是( )。A、右
- 星形细胞瘤分四级,属Ⅰ级星形细胞瘤的是A
- 以下哪一项是硬膜下血肿的CT征象A、颅骨
- 下列关于“蛛网膜囊肿”CT特点的描述,下
- 部分脑内肿瘤可沿脑脊液播散,较常见的有A
- 女性脑转移瘤多来自于哪种原发肿瘤 (
- 女,22岁, 胸背部及头皮下多发红色丘疹
- 1、临床拟诊为2、关于多形性成胶质细胞瘤
- 女性,43岁, 头痛、发热5天。CT平扫
- 颅板厚薄不匀,较薄的部位是A、额顶部B、