试题详情
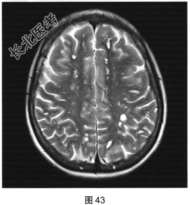
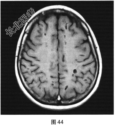
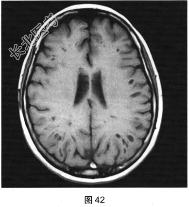
- [材料题] 患者女性,56岁,诉头痛、头晕多年,要求行颅脑MRI检查。查体:神志清楚,问答切题,查体合作。双眼睑无水肿、下垂及闭合不全,双侧瞳孔直径约3.0mm,直接、间接反射均灵敏。双眼视力视野粗侧无异常。发音清晰无嘶哑。耸肩及转头力量对称。四肢活动灵活,肌力、肌张力正常,深浅感觉基本正常;病理征阴性。患者行颅脑MRI检查,如图41~图44所示。



- 多项选择题1.根据患者MRI T1WI和T2WI图像,需要鉴别诊断的疾病有( )
A、多发性硬化
B、脑囊虫病
C、多发腔隙性脑梗死
D、囊性脑室旁白质软化
E、扩大血管周围间隙
F、蛛网膜囊肿
关注下方微信公众号,搜题查看答案

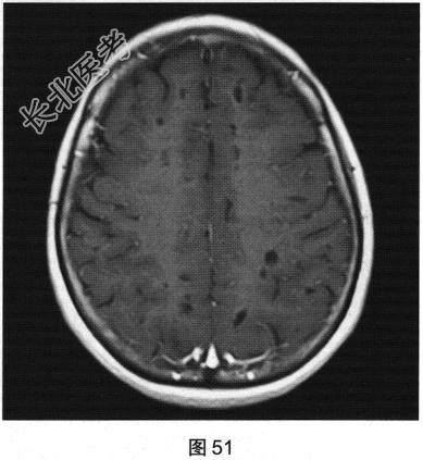
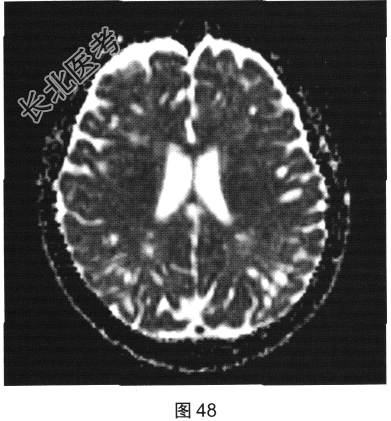
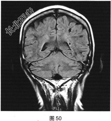
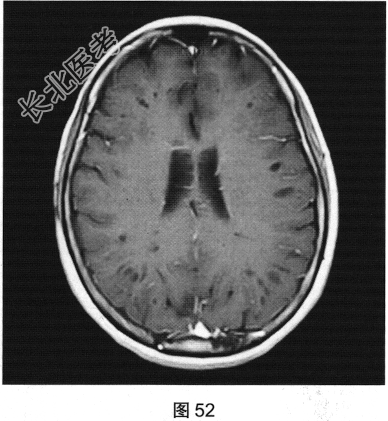
- 多项选择题2.[提示]患者行FLAIR、DWI及增强扫描,见图45~图54。该患者MRI影像的主要阳性表现有( )






A、增强后扫描病灶无强化
B、病灶呈簇状分布,形态规则,边界清楚
C、双侧放射冠及半卵圆中心多发条状、圆形及卵圆形异常信号灶
D、病灶呈长T1、长T2信号,FLAIR为低信号,DWI为高信号,ADC为低信号
E、病灶呈长T1、长T2信号,FLAIR为低信号,DWI为低信号,ADC为高信号
F、病灶呈长T1、长T2信号,FLAIR为稍高信号,DWI为低信号,ADC为高信号
G、增强后扫描病灶轻度强化
关注下方微信公众号,搜题查看答案

- 多项选择题3.根据患者MRI表现,本病最可能的诊断是( )
A、脑囊虫病
B、扩大血管周围间隙
C、多发腔隙性脑梗
D、蛛网膜囊肿
E、囊性侧脑室旁白质软化
F、多发性硬化
关注下方微信公众号,搜题查看答案

- 多项选择题4.关于增大血管周围间隙,叙述正确的有( )
A、中脑处病变容易生长很大,可压迫第3脑室引起脑积水
B、病灶在所有MRI序列上均有脑脊液信号相似
C、是与穿动脉伴行的含有间质液体的由柔脑膜细胞包绕的囊性结构,与蛛网膜下腔相通
D、部分病灶增强可见轻度强化
E、在各个年龄段均可见
F、血管周围间隙又称作Virchow-Robin(VR)间隙
关注下方微信公众号,搜题查看答案

热门试题
- 关于多发性硬化的MRI表现,下列说法错误
- 男,56岁, 头部被弹片炸伤,CT检查如
- 若蛛网膜下腔出血集中在一侧外侧裂,则常继
- 顺磁性铁在深部灰质核团的沉积与患者年龄有
- 下列结构中,哪一种结构无“血脑屏障”
- 结节性硬化患者的典型临床三联征包括
- 发生在桥小脑角区肿瘤中无强化的是A、三叉
- 男,26岁, 头痛、烦躁、意识障碍伴肢体
- 垂体和海绵窦MRI检查,最主要的常规MR
- 患者头痛3年。CT示右小脑桥脑角有一3c
- “结核性脑膜炎”CT征象,下列描述哪项错
- 患者女,36岁。抽搐半年, 近10余天头
- 脑脓肿病理分期,错误的是 ( )
- 下列视神经脑膜瘤和视神经胶质瘤的鉴别,错
- 下列哪项不符合Ⅰ级星形细胞瘤的CT表现A
- 关于脑外肿瘤的MRI定位诊断,下列哪项不
- 1、复查CT平扫未见明显异常,最可能是因
- 女,34岁, 头痛数年,头颅MRI平扫及
- 与颅咽管瘤特点不符的是 ( )A
- 女,39岁, 3年前因左额部胶质瘤手术治