试题详情
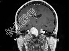
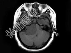
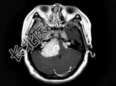
- 单项选择题女,22岁, 胸背部及头皮下多发红色丘疹状突起,伴头痛, 听力下降半年,行头颅MRI平扫及增强扫描如图, 最可能的诊断为 ( )

A、听神经瘤
B、三叉神经瘤
C、脑膜瘤
D、神经纤维瘤病NF-Ⅱ型
E、蛛网膜囊肿
关注下方微信公众号,搜题查看答案

热门试题
- 男,53岁, 吸烟史30多年,头痛, C
- 颅内生殖细胞瘤可发生于A、鞍区B、后颅窝
- 下列关于多发性硬化亚洲型的病变特点描述正
- 青少年蛛网膜下腔出血常见于 (
- 男,24岁, 头痛呕吐视力下降半年余,M
- 颅底部横轴位MR扫描,图像前部出现半环形
- 不是硬膜下出血原因的是 ( )A
- 在引起颅骨破坏的疾病中,下列哪种最常见A
- 女,13岁, 皮肤有多发结节和多发棕色素
- 1、该患者最可能诊断为2、对于该患者首选
- 如图箭头所示为大脑哪个部位 (
- Parkinson病一般继发于以下哪些病
- 海绵状血管瘤在CT和MRI上的表现特点有
- 半卵圆中心是 ( )A、投射纤维
- 脑脓肿壁的T2低信号最可能是( )A
- Dandy-Walker综合征不出现的影
- 男性脑转移瘤最多来自于哪种原发肿瘤
- 一端与颅底分离的不稳定骨折又称为 (
- 眼球脉络膜黑色素瘤的检查首选为下列哪项
- 缺氧所致的颅内出血以下列哪种较常见