试题详情
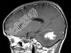
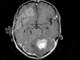
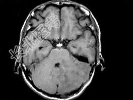
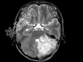
- 单项选择题男,41岁, 左枕部疼痛,右侧肢体乏力, 并渐进性加重半个月,右侧肢体乏力, 行走不稳,根据所提供图像, 最可能的诊断是 ( )

A、(小脑)血管母细胞瘤
B、(小脑)髓母细胞瘤
C、(小脑)炎性肉芽肿
D、(小脑)转移瘤
E、(小脑)星形胶质细胞瘤Ⅰ~Ⅱ级
关注下方微信公众号,搜题查看答案

热门试题
- 双侧大脑半球最大的连接结构是 (
- 1、复查CT平扫未见明显异常,最可能是因
- 患者女,49岁。头痛, MRI表现如下图
- 男,26岁, 间歇性头痛,CT检查, 最
- 结节性硬化患者在头颅X线平片或CT扫描发
- 蛛网膜下腔出血时,可出现由并发症所致的间
- 大脑中动脉破裂少量出血易出现的部位是
- 发生于幕下第四脑室的室管膜瘤应与下述哪种
- 视神经各段中最长的部分是 ( )
- 男,37岁, 肢体活动不利、酸胀1年余,
- 硬膜外血肿MRI表现中,下列描述哪项有错
- 颅内良性肿瘤出现钙化常见于 (
- 下列哪一项不属于脑颅骨 ( )A
- 下列ChiariⅠ型畸形的描述中,哪项是
- 男,1岁, 呕吐1周,结合图像, 最可能
- 下面有关大脑半球的描述,正确的为A、脑岛
- 下列哪类脑肿瘤常见钙化影 ( )
- 多发性硬化的病理改变为A、炎性浸润B、局
- 灰质异位最佳的检查方法是A、X线平片B、
- 关于颅底孔裂,描述正确的是A、舌下神经管