试题详情
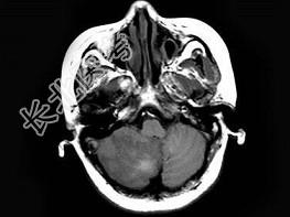
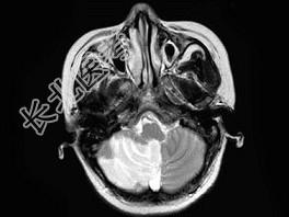
- 单项选择题女,58岁, 突发走路不稳1天,MRI检查见右小脑半球异常信号, 最可能的诊断为 ( )

A、脑梗死
B、病毒性脑炎
C、脑出血
D、星形细胞瘤
E、未见异常
关注下方微信公众号,搜题查看答案

热门试题
- 颅内最常见的血管畸形是A、动脉瘤B、动静
- 患者,头痛3年。CT示小脑蚓部有一3.0
- 颅脑病变的非直接征象是 ( )A
- 关于脑灰质异位,叙述错误的是( )A
- 男,36岁, 1周前出现发热、头痛、咳嗽
- 关于髓外硬膜下肿瘤X线造影表现正确者
- 女,34岁, 颈痛半年,结合MRI检查,
- 颅面血管瘤病和结节性硬化共有的征象为
- 颞下窝前界的解剖结构为 ( )A
- 儿童颅内高压的X线表现是( )。A、
- 关于Arnold-Chiari畸形,以下
- 1、患者入院后的首选检查应包括( )
- 男,63岁, 反复抽搐30余年加重伴左侧
- 下列颅内肿瘤最易合并出血的是 (
- 下列哪项不是结核性脑膜炎的CT表现
- 女,47岁, 左眼球突出伴视力下降半年,
- 1、关于该病的MRI描述正确的是2、根据
- 患者男性,高处坠落后颅脑CT报告硬膜下血
- 动脉瘤的MRI表现哪项描述错误 (
- 患者,女, 1岁半,头颅外伤1天, 如图