试题详情
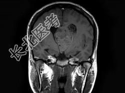
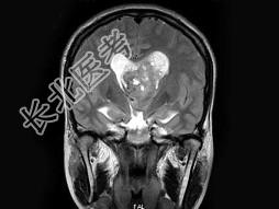
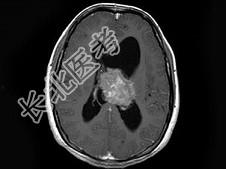
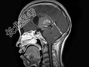
- 单项选择题男,32岁, 头痛呕吐半个月,MRI检查见脑室内占位, 最可能的诊断为 ( )

A、脉络膜丛乳头状瘤
B、室管膜瘤
C、髓母细胞瘤
D、脑膜瘤
E、未见异常
关注下方微信公众号,搜题查看答案

热门试题
- 颈内动脉颅内段分为A、岩骨段B、海绵窦段
- 男,32岁, 头痛,头昏半年, 加重10
- 居大脑半球内呈条带状相互交错的钙化见于A
- 女,47岁, 左侧面部麻木2个月余,伴阵
- 与鞍上池前外侧角相连的是A、侧裂池B、纵
- 1、复查CT平扫未见明显异常,最可能是因
- “罕见于成人”的脑肿瘤是 ( )
- 男,15岁, 面部有皮脂腺瘤,癫痫, 智
- 结节性硬化常伴有的脑瘤是A、毛细胞型星形
- 下列脑挫裂伤描述,下列哪项是错误的
- “脑包虫病”诊断要点,下述哪项错误
- 如图箭头所示为大脑哪个部位 (
- MRI上,有出血的脑转移癌常提示肿瘤来自
- 下列关于脑膜瘤的描述中正确的是 (
- 下列哪些检查能够诊断颅内血管性疾病A、C
- 男,32岁, 发热,头痛, 结合CT图像
- 如图箭头所示为大脑哪个部位 (
- 男,16岁, 头痛数月,MRI平扫及增强
- 关于听神经鞘瘤叙述,不正确的是( )
- 垂体瘤的CT表现正确的是A、蝶鞍扩大B、