试题详情
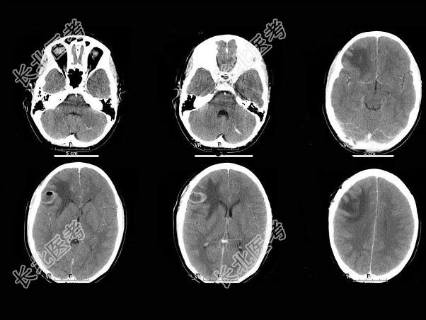
- 单项选择题男,32岁, 发热,头痛, 结合CT图像,最可能的诊断是 ( )

A、星形细胞瘤
B、脑转移瘤
C、脑脓肿
D、脑包虫病
E、脑血肿吸收期
关注下方微信公众号,搜题查看答案

热门试题
- “Dandy-Walker综合征“,下列
- 关于脑肿瘤好发年龄的描述,哪项不对
- 关于脑肿瘤MRI信号特点的描述,哪项不对
- 女,3岁, 头痛4个月,MRI平扫及增强
- 有关神经系统的组合,错误的是A、中枢神经
- 额叶下部血肿破裂的动脉是 ( )
- 患儿,男,12岁。CT示松果体区肿瘤,内
- “颅内皮样囊肿”,下列哪项是错误的
- 神经纤维瘤病Ⅱ型的主要表现是( )。
- 脑脊液鼻漏,常见于A、筛骨骨折B、蝶骨骨
- 静脉注射对比剂后,CT扫描不出现环状增强
- 女,55岁, 1年前出现头痛,头昏, 症
- “脑萎缩”影像包括 ( )A、
- 患者,男性, 21岁,CT示颅后窝中线区
- 转移瘤CT表现,下列哪项是错误的A、多发
- 女,38岁, 左侧视力下降伴头昏1个月余
- 男,24岁, 头痛呕吐视力下降半年余,M
- 女,36岁, 右眼视力下降6年多,左眼视
- 尾状核末端连接A、杏仁核B、豆状核C、屏
- 脑池是A、蛛网膜与硬脑膜之间的间隙B、蛛