试题详情
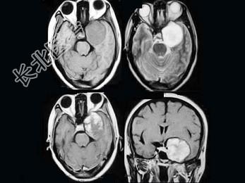
- 单项选择题女,47岁, 左侧面部麻木2个月余,伴阵发性头痛、耳鸣, MRI检查如图,最可能的诊断为 ( )

A、三叉神经纤维瘤
B、海绵状血管瘤
C、脑膜瘤
D、颅咽管瘤
E、胶质瘤
关注下方微信公众号,搜题查看答案

热门试题
- 女,79岁, 步行时突然摔倒,结合图像,
- 在平片上,关于颅骨血管压迹的描述,正确的
- 下列哪项叙述不符合结核性脑膜炎的CT表现
- 原发性蛛网膜囊肿好发于A、侧裂池B、大脑
- 男,25岁, 慢性腰痛伴间歇性跌倒半年,
- 女性,21岁, 部分性癫痫,MR表现如下
- 少突胶质细胞瘤的CT表现有A、多呈类圆形
- 脑动静脉畸形栓塞治疗的适应证为A、病变广
- 外伤性迟发性脑内出血多在伤后( )A
- 男,21岁, 视力障碍2个月,CT示鞍区
- 肿瘤内常有钙化的神经胶质瘤是( )。
- 间质性脑水肿的特点是A、脑室压力增高所引
- 转移瘤的常见CT表现不包括 (
- 在哪个时期,脑血肿与脑梗死的CT表现相仿
- 胆脂瘤的特点不包括A、信号较均匀,边界较
- 皮肤色素过度沉着的牛奶咖啡斑常见于(
- TORCH综合征包括下述哪些疾病 (
- 男,23岁,视力减退3月余,左侧视乳头原
- 儿童小脑半球占位性病变,首先考虑 (
- 1、关于MRI,描述正确的是A、右侧桥前