试题详情
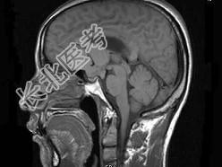
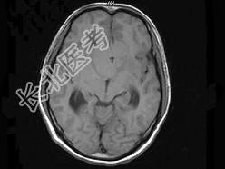
- 单项选择题男,32岁, 头痛,头昏半年, 加重10天伴抽搐,根据所提供图像, 最可能的诊断是 ( )

A、胶质瘤
B、颅咽管瘤
C、蛛网膜囊肿
D、表皮样囊肿
E、胆脂瘤
关注下方微信公众号,搜题查看答案

热门试题
- 有关脊髓多发性硬化,错误的是 (
- 女,32岁, 闭经泌乳半年。CT冠状扫描
- 下列关于多发性硬化亚洲型的病变特点描述正
- 成人:MRI示脑内多发异常信号且有明显环
- 鞍区CT扫描技术不包括( )。A、横
- 桥小脑角区听神经鞘瘤与脑膜瘤的鉴别诊断中
- 垂体瘤的CT表现,下列哪项是错误的
- 下列关于烟雾病的描述,不正确的是(
- 结节性硬化的特征性钙化结节发生在 (
- 男,26岁, 头痛、烦躁、意识障碍伴肢体
- 显示非活动性脑猪囊尾蚴最佳的检查方法为A
- 细胞毒性水肿常见于 ( )A、肿
- 男孩,1岁。有头皮损伤史, CT检查,最
- 男,52岁, 感头痛2周余,根据所提供图
- 关于胆脂瘤的CT表现,哪一项是错误的A、
- 多发性硬化的CT表现不包括A、脑室旁白质
- 1、患者入院后的首选检查应包括( )
- 关于第三脑室的描述,以下哪项不正确
- 颅内生殖细胞瘤可发生于A、鞍区B、后颅窝
- 男,42岁, 头晕视物旋转,面部麻木半月