试题详情
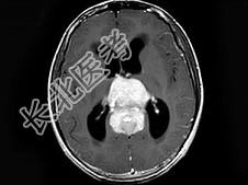
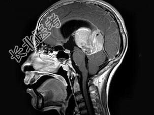
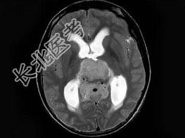
- 单项选择题男,16岁, 头痛数月,MRI平扫及增强扫描如图, 最可能的诊断是 ( )

A、生殖细胞瘤
B、松果体细胞瘤
C、星形细胞瘤
D、室管膜瘤
E、未见异常
关注下方微信公众号,搜题查看答案

热门试题
- 脑血管造影侧位片上大脑前动脉发出A、眶额
- 高血压患者,CT示鞍上池前角有一直径0.
- 1、病变的诊断为2、关于室管膜下巨细胞星
- 胼胝体发育不全的直接征象是 (
- 关于脑外肿瘤的MRI定位诊断,下列哪项不
- 以下癫痫持续状态脑病的临床表现,不正确的
- 关于垂体脓肿影像学表现,错误的描述是(
- 男,23岁, 2年前无明显诱因下出现右腰
- 下列对垂体微腺瘤的CT放大动态扫描特点的
- 1、根据患者MRI T1WI和T2WI图
- Sturge-Weber综合征脑实质钙化
- 颅内动脉瘤最常见的临床表现为 (
- 额叶外侧面下部的供应动脉是A、椎动脉B、
- 男,30岁,发作性意识丧失半年,CT平扫
- 灰质异位最佳的检查方法是A、X线平片B、
- 多发性硬化最常见部位是A、基底节B、脑干
- 胶质母细胞瘤的CT表现的描述,哪项是错误
- 有关脑膨出的组织描述正确的是A、膨出的组
- 缺氧所致的颅内出血以下列哪种较常见
- 鞍区CT扫描技术不包括( )。A、横