试题详情
- [材料题] 女性,56岁。右侧耳鸣1年,听力下降3个月。
- 多项选择题1.临床拟诊为
A、CPA区脑膜瘤
B、CPA区听神经鞘瘤
C、三叉神经鞘瘤
D、CPA区皮样囊肿
E、CPA区表皮样囊肿
F、CPA区蛛网膜囊肿
G、面神经鞘瘤
关注下方微信公众号,搜题查看答案

- 多项选择题2.若进一步诊断明确,还需做的影像学检查是
A、CT
B、MRI平扫
C、MRI增强
D、头颅平片
E、纯音测听
F、B超
G、HRCT
关注下方微信公众号,搜题查看答案

- 多项选择题3.最可能的诊断为(提示CT显示内耳道增宽,如下图)

A、CPA区脑膜瘤
B、CPA区听神经鞘瘤
C、三叉神经鞘瘤
D、CPA区皮样囊肿
E、CPA区表皮样囊肿
F、CPA区蛛网膜囊肿
G、面神经鞘瘤
关注下方微信公众号,搜题查看答案

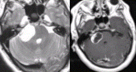
- 多项选择题4.病例诊断为(提示进一步MR检查结果如下图)

A、CPA区脑膜瘤
B、CPA区听神经鞘瘤
C、三叉神经鞘瘤
D、CPA区皮样囊肿
E、CPA区表皮样囊肿
F、CPA区蛛网膜囊肿
G、面神经鞘瘤
关注下方微信公众号,搜题查看答案

- 多项选择题5.若患者发生双侧听神经鞘瘤,应考虑的诊断为
A、结节硬化
B、Sturge-Weber综合征
C、Alexander病
D、神经纤维瘤病Ⅰ型
E、神经纤维瘤病Ⅱ型
F、vonHinpple-Lindau综合征
关注下方微信公众号,搜题查看答案

- 多项选择题6.常见于神经纤维瘤病Ⅰ型的是
A、牛奶咖啡斑
B、视神经胶质瘤
C、视神经脑膜瘤
D、双侧听神经鞘瘤
E、腹股沟区雀斑
F、外周神经纤维瘤
G、中枢神经多发脑膜瘤
关注下方微信公众号,搜题查看答案

- 多项选择题7.关于该肿瘤,描述正确的是
A、多起源于前庭神经
B、多起源于蜗神经
C、早期即有内耳道的扩大
D、增强检查可明显强化
E、肿瘤较大时可囊变
F、是单侧感音性神经性耳聋最常见的病因
G、评价有无面神经迷路段受累,以区分面神经鞘瘤
关注下方微信公众号,搜题查看答案

- 多项选择题8.疑为小听神经瘤,首选影像学检查方法是
A、X线平片
B、常规CT
C、HRCT
D、常规MRI
E、MRI薄层T
WI扫描F、高分辨薄层T
WIG、薄层T
WI强化
关注下方微信公众号,搜题查看答案

热门试题
- 下列关于多形性胶质母细胞瘤的描述正确的是
- 与脑水肿同密度CT图像的病变是A、脑白质
- 下列哪种疾病,不会出现“中脑导水管狭窄”
- MRI平扫胼胝体的信号为 ( )
- 脑脓肿的CT表现分为四期,脓肿壁形成晚期
- 下列哪种颅内肿瘤不需要放射治疗A、毛发型
- 男,13岁, 头痛,呕吐1月余, MRI
- 男,15岁, 反复发作性癫痫12年,伴头
- 脑血管畸形包括A、动脉瘤B、静脉瘤C、海
- 男,32岁, 视力模糊,性功能下降2年,
- 蛛网膜下腔出血的间接征象有 (
- 1、根据患者MRI T1WI和T2WI图
- 静脉注射对比剂后,CT扫描不出现环状增强
- 关于三叉神经瘤描述,下列哪项是错误的
- 多发性硬化的诊断要点,描述正确的是A、反
- 最常见的原发性脑肿瘤是( )A、转移
- 女,1岁, 头大,智力障碍, CT示四脑
- 椎动脉颅内段的主要分支为A、脑膜支B、脊
- 女,58岁, 突发走路不稳1天,MRI检
- 女,47岁, 左眼球突出伴视力下降半年,