试题详情
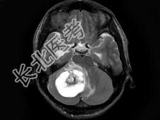
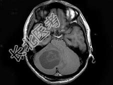
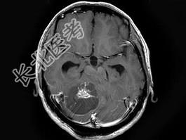
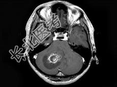
单项选择题男,33岁, 阵发性头痛伴呕吐行走不稳1个月,MRI平扫及增强扫描如图, 最可能的诊断是 ( )

A、右小脑星形细胞瘤

B、右小脑脓肿

C、右小脑血管母细胞瘤

D、转移瘤

E、未见异常

  • 关注下方微信公众号,搜题查看答案

热门试题