试题详情
- [材料题] 一、病史
(1)现病史:男性,44岁,发现左眼肿胀、突出半年余。
(2)体格检查:左眼球突出,无明显压痛,无视野缺损,无复视。
(3)实验室检查:无殊。
二、影像学资料及分析
影像学资料如图50-1~图50-4所示。
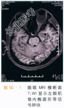
读片分析:眼眶内有肌锥内间隙、肌锥外间隙、骨膜下间隙和巩膜周围间隙等。肌锥内间隙由肌锥围成,主要为脂肪充填,内有视神经通过。肌锥外间隙指肌锥与眶骨膜之间的间隙,主要为脂肪充填。骨膜下间隙指眶骨膜与眶骨之间的潜在间隙,常见病变包括骨膜下血肿、炎症、转移瘤、脑膜瘤等。巩膜周围间隙指Tenon囊与眼球壁巩膜之间的潜在间隙,常见病变包括出血、炎症和眼球内恶性肿瘤侵犯等。肌锥内间隙,是血管源性肿瘤及神经源性肿瘤的好发部位,前界为眼球筋膜及眶膜,周围以眼外肌和肌筋膜为界,呈锥形。
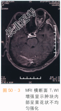
眼眶海绵状血管瘤CT表现为肌锥内类圆形边界清楚之占位,软组织密度,可见结节状钙化,注入造影剂后,呈渐进性强化,为该病的特征表现。肿块占位效应较轻,肿块较大时眼外肌受压向外侧移位,眼球向前方突出。MRI检查时,病灶的T₁WI信号和肌肉类似如图50-1所示,若有血栓形成,可表现为不规则高信号,T₂WI呈类圆形高信号,内偶可见细小低信号分隔,周围假包膜呈低信号,通常没有囊变或坏死如图50-2所示。MRI多平面扫描可以清晰显示肿块的边界,其与视神经、眼球、眼外肌分界清楚,见渐进性强化如图50-3、图50-4所示。
- 简答题1、请描述眼眶海绵状血管瘤的影像诊断有哪些?
关注下方微信公众号,搜题查看答案

- 简答题2、分别阐述其鉴别要点有哪些?
关注下方微信公众号,搜题查看答案

热门试题
- 1、诊断要点是什么?2、鉴别诊断是什么?
- 1、患者的诊断及依据是什么?2、相关鉴别
- 1、诊断及依据是什么?2、鉴别诊断有哪些
- 1、请对图中所见进行描述?2、根据上图,
- 1、CT异常表现有哪些?2、该患者的诊断
- 1、诊断及依据是什么?2、鉴别诊断有哪些
- 1、股骨头缺血坏死MRI典型的“双线征”
- 1、患者的诊断及依据是什么?2、鉴别诊断
- 1、诊断及依据是什么?2、鉴别诊断有哪些
- 1、患者的诊断及依据是什么?2、鉴别诊断
- 1、请简述该病例的诊断要点是什么?2、鉴
- 1、患者的诊断及依据是什么?2、鉴别诊断
- 1、患者的诊断及依据是什么?2、鉴别诊断
- 1、诊断要点是什么?2、鉴别诊断是什么?
- 1、胸腔积液的检查方法与选择?2、胸腔积
- 1、诊断及依据是什么?2、鉴别诊断有哪些
- 1、请简述该病例的诊断要点是什么?2、鉴
- 1、骨巨细胞瘤的CT影像特征有哪些?2、
- 1、患者的诊断及诊断依据是什么?2、鉴别
- 1、患者的诊断及依据是什么?2、鉴别诊断