试题详情
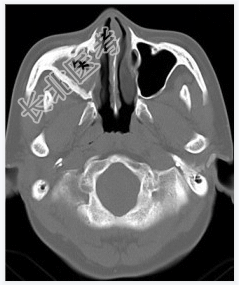
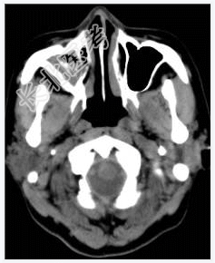
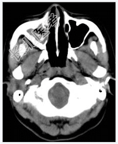
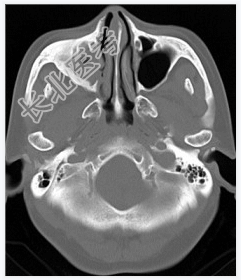
- [材料题] 女性,50岁。鼻塞2年余,有异物感,有血性分泌物,伴面颊疼痛。行CT检查。

- 简答题1、患者的诊断及依据是什么?
关注下方微信公众号,搜题查看答案

- 简答题2、需要与哪些疾病鉴别?
关注下方微信公众号,搜题查看答案

热门试题
- 1、诊断及依据是什么?2、鉴别诊断有哪些
- 1、胃癌的CT扫描分期有哪几期?2、胃癌
- 1、鼻咽纤维血管瘤的诊断要点是什么?2、
- 1、诊断要点是什么?2、鉴别诊断是什么?
- 1、患者的诊断及依据是什么?2、鉴别诊断
- 1、肾脏透明细胞癌鉴别诊断有哪些?2、肾
- 1、软骨母细胞瘤的影像特征有哪些?2、软
- 1、患者的诊断及依据是什么?2、鉴别诊断
- 1、急性化脓性骨髓炎的影像特点有哪些?2
- 1、影像诊断思路是什么?2、诊断要点是什
- 1、影像诊断思路是什么?2、诊断要点是什
- 1、患者的诊断及依据是什么?2、鉴别诊断
- 1、患者的诊断及依据是什么?2、鉴别诊断
- 1、患者的诊断及依据是什么?2、其影像学
- 1、患者X线检查的主要影像表现是什么?2
- 1、颅咽管瘤的鉴别诊断有哪些?2、颅咽管
- 1、垂体大腺瘤的鉴别诊断有哪些?2、垂体
- 1、简述患者的处理方案及基本原则。2、消
- 1、患者的诊断及依据是什么?2、鉴别诊断
- 1、患者的诊断及依据是什么?2、鉴别诊断