试题详情
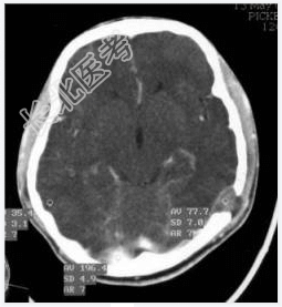
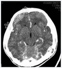
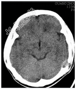
- [材料题] 病历摘要:男性,20岁。
主诉:发现头皮软组织肿物3个月。
现病史:三月前发现左枕部软组织轻微突起伴隐痛,到当地医院检查发现左枕部颅骨骨质缺损,未作具体治疗,现觉头皮肿物增大,时伴有气促、头痛。
专科检查:左颞枕部软组织略膨起,较软,各项病理反射(-)。

- 简答题1、诊断及诊断依据是什么?
关注下方微信公众号,搜题查看答案

- 简答题2、鉴别诊断有哪些?
关注下方微信公众号,搜题查看答案

热门试题
- 1、诊断及依据是什么?2、鉴别诊断有哪些
- 1、鉴别诊断有哪些?2、脊柱结核有哪些影
- 1、请简述该病例的诊断要点是什么?2、最
- 1、影像诊断思路是什么?2、诊断要点是什
- 1、影像诊断思路是什么?2、诊断要点是什
- 1、本病最可能诊断为?2、本病常见症状和
- 1、简述患者的处理方案及基本原则。2、消
- 1、患者的鉴别诊断有哪些?2、慢性中耳乳
- 1、该患者可能诊断及依据是什么?2、相关
- 1、甲状腺癌病理分型有哪些?2、甲状腺癌
- 1、读片思路是什么?2、诊断要点是什么?
- 1、诊断及依据是什么?2、鉴别诊断有哪些
- 1、根据上述资料,适合做哪种检查?2、患
- 1、患者的诊断及依据是什么?2、经皮椎间
- 1、诊断要点是什么?2、鉴别诊断是什么?
- 1、典型胸腺瘤的影像学表现有哪些?2、侵
- 1、患者的诊断及依据是什么?2、该诊断的
- 1、请简述该病例的诊断要点是什么?2、鉴
- 1、根据髋关节CT和MR影像,你认为此病
- 1、影像诊断思路是什么?2、诊断要点与鉴