试题详情
- [材料题] 一、病史
男,28岁,头痛半年。
二、影像学资料及分析
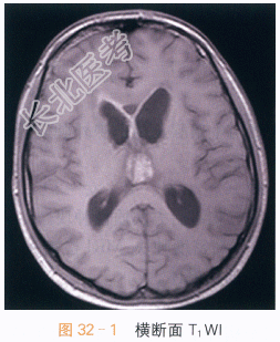
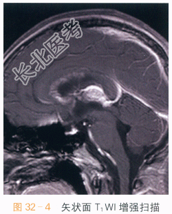
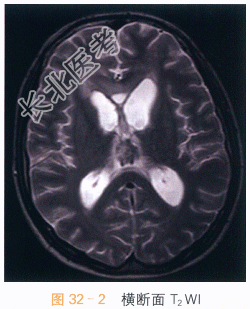
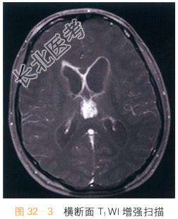
影像学资料如图32-1~图32-4所示。
读片分析:头颅横断面T₁WI、T₂WI示松果体区不规则软组织肿块影,呈T₁WI等高、T₂WI低信号影,信号不均匀;横断面、矢状面T₁WI增强扫描可见病灶明显强化,室管膜亦可见明显强化。
- 简答题1、患者的诊断及依据是什么?
关注下方微信公众号,搜题查看答案

- 简答题2、鉴别诊断有哪些?
关注下方微信公众号,搜题查看答案

- 简答题3、生殖细胞瘤的影像学诊断有哪些?
关注下方微信公众号,搜题查看答案

- 简答题4、生殖细胞瘤的主要临床表现有哪些?
关注下方微信公众号,搜题查看答案

热门试题
- 1、肝血管瘤的鉴别诊断有哪些?2、肝血管
- 1、纵隔气肿的典型影像学表现有哪些?2、
- 1、请简述该病例的诊断要点是什么?2、鉴
- 1、请对该病例进行分析,提出可能的诊断及
- 1、患者的诊断及依据是什么?2、鉴别诊断
- 1、应该做哪些检查?2、患者检查图像如下
- 1、患者的影像诊断是什么?2、患者的诊断
- 1、患者的诊断及依据是什么?2、鉴别诊断
- 1、诊断要点是什么?2、鉴别诊断是什么?
- 1、患者的诊断及依据是什么?2、患者的鉴
- 1、请简述该病例的诊断要点是什么?2、鉴
- 1、请简述该病例的诊断要点是什么?2、鉴
- 1、什么是嗜酸性肉芽肿?2、影像表现有什
- 1、请问该病例诊断是什么?2、请问胃小弯
- 1、动脉瘤样骨囊肿的影像特征有哪些?2、
- 1、诊断要点是什么?2、鉴别诊断是什么?
- 1、心包积液的检查方法与选择2、心包积液
- 1、患者的诊断及依据是什么?2、鉴别诊断
- 1、畸形性骨炎及其病变发展阶段有哪些?2
- 1、诊断要点是什么?2、鉴别诊断是什么?