试题详情
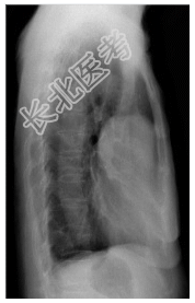
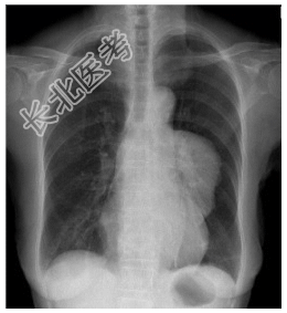
- [材料题] 患者,女性,55岁,重症肌无力多年,发现贫血1年余。查体.双侧眼睑下垂,面色苍白。行胸部平片检查。

- 简答题1、诊断及依据是什么?
关注下方微信公众号,搜题查看答案

- 简答题2、鉴别诊断有哪些?
关注下方微信公众号,搜题查看答案

热门试题
- 1、简述畸胎瘤的检查方法与选择。2、典型
- 1、患者的诊断及依据是什么?2、鉴别诊断
- 1、患者的诊断及依据是什么?2、鉴别诊断
- 1、患者的诊断及依据是什么?2、鉴别诊断
- 1、诊断要点是什么?2、鉴别诊断是什么?
- 1、患者的诊断及依据是什么?2、鉴别诊断
- 1、读片思路是什么?2、诊断要点是什么?
- 1、影像诊断思路是什么?2、诊断要点是什
- 1、请简述该病例的诊断要点是什么?2、最
- 1、患者的诊断及依据是什么?2、鉴别诊断
- 1、首先诊断为什么?2、急性化脓性骨髓炎
- 1、患者的诊断及依据是什么?2、鉴别诊断
- 1、转移瘤的鉴别诊断有哪些?2、转移瘤的
- 1、请简述该病例的诊断要点是什么?2、鉴
- 1、请简述该病例的诊断要点是什么?2、鉴
- 1、患者应进行哪些检查?2、患者行胸片正
- 1、请问颈部增强CT检查的流程是什么?2
- 1、肾上腺嗜铬细胞瘤影像学表现有哪些?2
- 1、患者CT检查的主要影像表现是什么?2
- 1、诊断应考虑为什么?2、先天性巨结肠患