试题详情
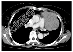
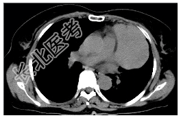
- [材料题] 病历摘要:女,56岁。因胸部不适,2月来诊,无发热,无咯血。起病以来体重明显减轻。查体:左胸呼吸音减弱,左上胸扣诊浊音。胸部X线片示“左上肺占位病变”。做胸部CT线检查。

- 简答题1、诊断及依据是什么?
关注下方微信公众号,搜题查看答案

- 简答题2、鉴别诊断有哪些?
关注下方微信公众号,搜题查看答案

热门试题
- 1、该患者的诊断是什么?其影像学表现有哪
- 1、诊断要点是什么?2、鉴别诊断是什么?
- 1、CTA提示为前交通动脉瘤并发破裂出血
- 1、影像诊断思路是什么?2、诊断要点与鉴
- 1、患者的诊断及依据是什么?2、宫颈癌大
- 1、患者的诊断及依据是什么?2、食道静脉
- 1、请问首选检查方法为?2、如果腹部CT
- 1、请简述该病例的诊断要点是什么?2、鉴
- 1、室管膜瘤的影像学诊断有哪些?2、室管
- 1、患者的诊断及依据是什么?2、鉴别诊断
- 1、CT平扫病灶出现低密度区最大可能性是
- 1、请简述该病例的诊断要点是什么?2、鉴
- 1、影像诊断思路是什么?2、诊断要点是什
- 1、诊断要点是什么?2、鉴别诊断是什么?
- 1、患者的诊断及依据是什么?2、肺结节病
- 1、患者的诊断及依据是什么?2、鉴别诊断
- 1、垂体大腺瘤的鉴别诊断有哪些?2、垂体
- 1、诊断要点是什么?2、鉴别诊断是什么?
- 1、请简述该病例的诊断要点是什么?2、鉴
- 1、影像诊断思路是什么?2、诊断要点与鉴