试题详情
- [材料题] 一、病史
女,28岁,头痛、头晕4月余。
二、影像学资料及分析
影像学资料如图30-1~图30-4所示。
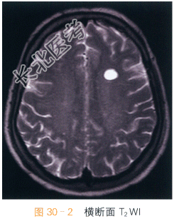
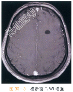
读片分析:头颅横断面T₁WI,T₂WI显示左侧额叶均匀的长T₁WI,长T₂WI信号,边界清晰,周围脑实质未见水肿;横断面、矢状面T₁W增强显示左侧额叶病灶未见明显强化。结合病史,患者考虑为神经上皮囊肿。
- 简答题1、神经上皮囊肿影像学诊断有哪些?
关注下方微信公众号,搜题查看答案

- 简答题2、神经上皮囊肿鉴别诊断有哪些?
关注下方微信公众号,搜题查看答案

热门试题
- 1、患者的诊断及依据是什么?2、患者的相
- 1、请描述眼眶海绵状血管瘤的影像诊断有哪
- 1、影像诊断思路是什么?2、诊断要点是什
- 1、诊断及依据是什么?2、鉴别诊断有哪些
- 1、请简述该病例的诊断要点是什么?2、鉴
- 1、诊断要点是什么?2、鉴别诊断是什么?
- 1、患者的诊断及依据是什么?2、鉴别诊断
- 1、患者CT检查的主要影像表现是什么?2
- 1、患者的诊断及依据是什么?2、鉴别诊断
- 1、该患者MRI检查有何异常改变?2、患
- 1、鼻咽癌的影像诊断要点是什么?2、鼻咽
- 1、影像诊断思路是什么?2、诊断要点是什
- 1、诊断要点是什么?2、鉴别诊断是什么?
- 1、诊断要点是什么?2、鉴别诊断是什么?
- 1、诊断要点是什么?2、鉴别诊断是什么?
- 1、诊断及依据是什么?2、鉴别诊断有哪些
- 1、颅咽管瘤的鉴别诊断有哪些?2、颅咽管
- 1、垂体微腺瘤的主要影像学检查方法有哪些
- 1、影像诊断思路是什么?2、诊断要点是什
- 1、患者的诊断及依据是什么?2、鉴别诊断