试题详情
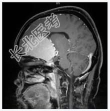
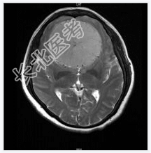
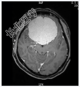
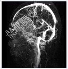
- [材料题] 患者女,55岁,视力下降数月。查体:视力下降,余神经体征阴性。

- 简答题1、诊断及依据是什么?
关注下方微信公众号,搜题查看答案

- 简答题2、鉴别诊断有什么?
关注下方微信公众号,搜题查看答案

热门试题
- 1、转移瘤的鉴别诊断有哪些?2、转移瘤的
- 1、患者的诊断及依据是什么?2、鉴别诊断
- 1、患者的诊断及依据是什么?2、鉴别诊断
- 1、患者的诊断为什么?2、颈动脉间隙内有
- 1、请简述该病例的诊断要点是什么?2、鉴
- 1、请简述该病例的诊断要点是什么?2、鉴
- 1、影像诊断思路是什么?2、诊断要点与鉴
- 1、患者的诊断要点有哪些?2、甲状腺腺瘤
- 1、诊断及依据是什么?2、鉴别诊断有哪些
- 1、患者的诊断及依据是什么?2、相关的鉴
- 1、为明确血管的闭塞程度应行的检查是?2
- 1、鼻咽纤维血管瘤的诊断要点是什么?2、
- 1、患者的影像诊断是什么?2、患者的诊断
- 1、诊断要点是什么?2、鉴别诊断是什么?
- 1、患者的诊断及依据是什么?2、鉴别诊断
- 1、诊断要点是什么?2、鉴别诊断是什么?
- 1、患者X线检查的主要影像表现是什么?2
- 1、请简述该病例的诊断要点是什么?2、鉴
- 1、该患者的诊断是什么?其影像学表现有哪
- 1、该患者可能诊断及依据是什么?2、脑动