试题详情
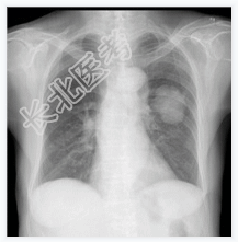
- [材料题] 患者,女性,83岁,低热一个多月,伴乏力、纳差、咳嗽,曾咯血丝痰。查体:体温,37.8℃;双肺呼吸音粗,未闻及明确干湿性啰音。心脏体查无异常。行胸部平片检查。

- 简答题1、请问该病例诊断是什么?
关注下方微信公众号,搜题查看答案

- 简答题2、请问诊断依据是什么?
关注下方微信公众号,搜题查看答案

- 简答题3、鉴别诊断有哪些?
关注下方微信公众号,搜题查看答案

热门试题
- 1、脑脊液检查结果如何支持化脓性脑膜炎的
- 1、初步诊断为何病?2、AS的诊断依据是
- 1、请问该患者的诊断是什么?2、请问该病
- 1、该病例可能的诊断是什么?2、CT检查
- 1、最可能的诊断是?2、该病例主要的病变
- 1、对于此患者,请问应考虑的诊断是什么?
- 1、患者最可能的诊断是?2、[提示]患者
- 1、请问该病诊断是什么?2、膀胱结石的主
- 1、本病例最可能的诊断是?2、食管癌的影
- 1、前列腺癌临床表现?2、前列腺癌的危险
- 1、请问该患者诊断应该是什么?2、请问该
- 1、诊断是什么?2、心包积液的常见原因有
- 1、该病最可能的诊断是?2、类风湿关节炎
- 1、请问该患者最有可能的诊断是什么?2、
- 1、请问该病的影像学表现是什么?2、请问
- 1、CT检查如下图,请问拟诊断为什么?
- 1、请问你认为最可能的诊断是什么?2、请
- 1、脉络丛肿瘤临床表现有?2、脉络丛肿瘤
- 1、请问该患者诊断是什么?2、请问鉴别诊
- 1、请问针对该病患最准确的诊断是什么?2