试题详情
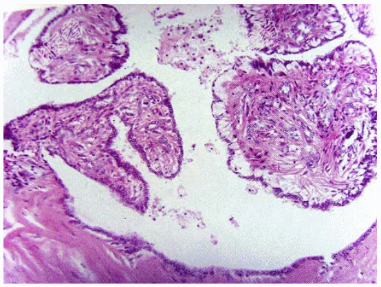
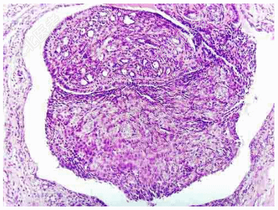
- [材料题] 女性,35岁,左侧乳头血性溢液半月余,乳头附近扪及柔软、樱桃大小包块,尚可活动。超声显示肿块界限清楚,低回声结节。手术切除,显微镜下管腔内见树枝状结构,乳头和导管共存(如图)。临床诊断为导管内乳头状瘤。

- 简答题1、该疾病大体检查表现为?
关注下方微信公众号,搜题查看答案

- 简答题2、该疾病组织学表现表现为?
关注下方微信公众号,搜题查看答案

热门试题
- 1、最有可能的诊断是?2、该疾病的病因为
- 1、该疾病的病因和临床特点表现为?2、该
- 1、最可能的诊断是?2、该疾病的镜下改变
- 1、该疾病常见的转移部位包括?2、该疾病
- 1、该疾病可发生于?2、该疾病肉眼改变表
- 1、该患者的病理诊断为?2、该疾病预后如
- 1、该疾病多见于?2、该疾病可有哪些肉眼
- 1、该疾病常见于?2、该疾病根据瘤细胞核
- 1、该疾病的病理特点为?2、该疾病免疫组
- 1、该疾病的肉眼改变表现为?2、该疾病的
- 1、该患者可能诊断为?2、该病例的疾病类
- 1、应诊断为?2、该疾病的病因包括?3、
- 1、该疾病的病因包括?2、该疾病肉眼改变
- 1、该患者可能的诊断为?2、该疾病好发年
- 1、该疾病好发于?2、该疾病可有哪些肉眼
- 1、该疾病多见于?2、该疾病肉眼改变表现
- 1、该疾病的主要危险因素是?2、动脉粥样
- 1、该疾病好发于?2、该疾病病理学改变表
- 1、该疾病免疫组化表达?2、该疾病涉及哪
- 1、具有上述病理特征的疾病是?2、该疾病