试题详情
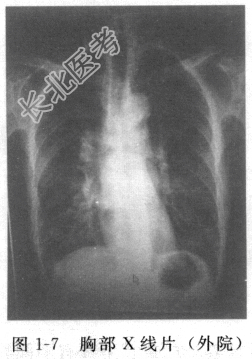
- [材料题] 患者男性,32岁,因“反复发热伴咳嗽、咳痰1周”入院。入院前外院急诊血常规提示WBC 13.6×109/L,N% 78%。胸部X线片(图1-7)示右下肺斑片状影。查体:双肺呼吸音粗,右下肺可闻及湿啰音。外院给予“头孢替安”等抗感染、退热等治疗后体温稍有下降,仍有反复咳嗽、咳痰。

- 简答题1、目前考虑的诊断是什么?诊断依据是什么?
关注下方微信公众号,搜题查看答案

- 简答题2、鉴别诊断是什么?
关注下方微信公众号,搜题查看答案

- 简答题3、应做哪些检查?各有什么临床意义?
关注下方微信公众号,搜题查看答案

- 简答题4、入院后复查血常规提示WBC 13.1×109/L,N% 86%.结核抗体(±),降钙素原0.976ng/ml↑,CRP 103.87mg/L↑,痰细菌培养未见致病菌。患者拒绝行支气管镜检查术。胸部CT(图1~8)提示右下肺斑片状影,可见支气管充气征。
治疗原则是什么?
关注下方微信公众号,搜题查看答案

- 简答题5、具体的治疗方案是什么?
关注下方微信公众号,搜题查看答案

热门试题
- 1、请问本病例最可能的诊断是?2、请问考
- 1、请问进一步完善检查项目应包括?2、C
- 1、请问经治疗后患者出现烦躁,乱语,应马
- 1、该患者初步诊断为2、还需要与哪些疾病
- 1、该患者初步诊断为2、还需要与哪些疾病
- 1、该患者初步诊断为2、还需要与哪些疾病
- 1、该病人最有可能的医疗诊断是什么?其依
- 1、该患者初步诊断为?2、诊断依据是什么
- 1、该患者初步诊断为?诊断依据是什么?2
- 1、目前考虑的诊断是什么?诊断依据是什么
- 1、该患者的诊断是什么?2、如何用药治疗
- 1、该患者的诊断是什么?2、诊断依据有哪
- 1、请问哪种药物可长期使用,并预防夜间发
- 1、该患者初步诊断为?诊断依据是什么?2
- 1、该病人应首先考虑什么疾病?怎样进一步
- 1、请问该患者进一步应做哪些检查?2、请
- 1、此时应采取的治疗措施有?2、该患者住
- 1、初步诊断及诊断依据2、治疗原则
- 1、请问可用于判断胸液性质的指标有哪些?
- 1、该患者可能得诊断有哪些?2、为确诊患