试题详情
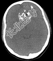
- 多项选择题男性,28岁, 因鼻塞、头痛1年余,鼻窦CT扫描如图所示, 请选择正确的描述与结论 ( )

A、双侧上颌窦、筛窦、鼻腔及蝶窦内见软组织肿块影
B、肿块内密度不均,有较多致密钙化影
C、窦壁及颅底骨质破坏
D、考虑鼻窦骨瘤
E、考虑为鼻窦软骨瘤
关注下方微信公众号,搜题查看答案

热门试题
- 1、患者临床分期为( )2、(提示
- PTEN基因使癌细胞换活的主要方式是
- 1、涎腺恶性肿瘤,其病理类型最常见的前2
- 下列有关泌尿系统肿瘤的说法正确的是 (
- 目前,关于头颈部鳞状细胞癌(不包括鼻咽癌
- 常见的三大类卵巢肿瘤是 ( )A
- 为了提高肿瘤的局部区域控制率,放疗常与手
- 1、患者原发性中枢神经系统淋巴瘤诊断明确
- 下列哪些肿瘤无包膜?( )A、乳腺纤维
- 1、根据胃镜结果,该患者病变位于(
- 1、该患者目前最适合的治疗方法是(
- 1、黏膜相关淋巴瘤最常见的原发部位是(
- 早期子宫颈癌根治性手术淋巴结阴性的患者,
- 中药治疗肿瘤的特色有( )A、整体观
- 肿瘤标志物的类型包括( )A、糖蛋白
- 1、根据所提供的材料,此例患者的临床分期
- 哪些属于5-FU治疗的新进展 (
- 软组织肿瘤的疼痛与下列哪些因素有关 (
- 1、首先考虑的诊断是( )2、为进一
- 在没有楔形板的情况下,早期声门癌放疗首选