试题详情
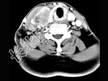
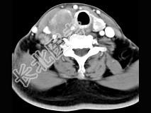
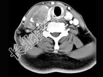
- 多项选择题女性,54岁, 右侧颈部肿大近1年,近来病人有声嘶、吞咽困难, CT扫描如图,请选择正确的描述和答案 ( )

A、右侧甲状腺肿大,密度减低
B、增强扫描示甲状腺呈不规则强化团块影,其内有低密度区,病灶境界不清
C、右侧颈内静脉增粗,其内可见不规则充盈缺损区
D、考虑甲状腺癌
E、右侧颈内静脉瘤栓形成
关注下方微信公众号,搜题查看答案

热门试题
- 引起原癌基因突变的DNA 结构改变包括(
- 1、该患者最可能的诊断为( )2、进
- 恶性淋巴瘤的细胞起源可为多种,包括 (
- 关于CT中肺磨玻璃密度结节的描述正确的是
- 胸片示右上纵隔增宽可考虑 ( )
- 符合淋巴细胞为主型霍奇金淋巴瘤的特点为
- 男性,57岁, 睡觉打鼾,近来加重, C
- 1、该患者皮肤结节的可能诊断有( )
- 女性,54岁, 右侧颈部肿大近1年,近来
- 保乳手术和放化疗综合治疗的绝对禁忌证为
- 遗传起决定作用的肿瘤有 ( )A
- 感染与癌症关系密切,下列感染因子与癌症关
- 作为过继性免疫治疗基础的细胞包括(
- 1、首先考虑的诊断是( )2、(提示
- 1、根据目前检查,患者的第七版AJCC/
- 下列化疗药可用在卵巢癌的二线治疗的是(
- 关于癌性疼痛的治疗,下列叙述中正确的是(
- 关于肛管癌正确的是 ( )A、多
- 卵巢癌手术可考虑保留患者对侧卵巢和子宫的
- 分化好的恶性瘤通常是( )。A、早期手