试题详情
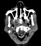
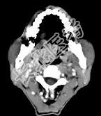
- 多项选择题男性,57岁, 睡觉打鼾,近来加重, CT扫描如图所示,请选择正确的描述和答案  (    )
       
- A、鼻咽腔偏右侧可见类圆形软组织块影 
- B、肿块内密度尚均匀,其上方见较多钙化影 
- C、肿块边缘大部清楚,邻近结构未见明显受侵 
- D、考虑为鼻咽癌 
- E、考虑为鼻咽部多形性腺瘤 
- 关注下方微信公众号,搜题查看答案 
 
热门试题
- 关于大肠癌预后的描述,正确的是 (
- 肿瘤细胞具有遗传不稳定性,在增殖过程中可
- 调强适形放疗和二维放疗的主要区别是(
- 1、该患者术后合适的治疗为A、单纯放疗B
- 1、按照Ann Arbor分期标准,此患
- 小细胞肺癌化疗的经典方案有 (
- 1、若行Ga炎症显像,显像方法正确的是2
- 以下指标中,最新国际胃肠道神经内分泌肿瘤
- 目前,关于晚期头颈部肿瘤术后同步放射化学
- 下列哪项属癌前病变或疾病 ( )
- 1、该患者可考虑补充的检查是( )2
- 1、患者最可能的诊断是2、该患者术后完善
- 以下情况中,通常需要术后放疗的是(
- 关于癌症康复,下面的说法中正确的是(
- 1、入院后,该患者最恰当的临床诊断是(
- 下列化疗药可用在卵巢癌的二线治疗的是(
- 关于间变,下列叙述哪些是正确的? (
- 1、为明确诊断,首选以下检查中的(
- 肿瘤流行病学研究的资料来源有哪些 (
- 脑膜瘤行X(γ)刀治疗的适应证是 (