试题详情
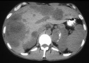
- 多项选择题男,37岁, 阵发性高血压1月余,请结合所提供图像, 选择最佳答案 ( )

A、左侧肾上腺癌
B、左侧恶性嗜铬细胞瘤
C、左侧肾上腺转移瘤
D、肝转移瘤
E、原发性肝癌
关注下方微信公众号,搜题查看答案

热门试题
- 1、最可能的诊断是2、无须进一步做的检查
- 1、该患者目前需要考虑的诊断是(
- 关于单纯性甲状腺肿的描述正确的是(
- 对胰岛素瘤患者应采用A、肿瘤切除术B、未
- 结合下列图片,以下说法正确的是 (
- 膳食纤维摄入过多会产生有害作用,常见的有
- 1、预计这种异常最可能的疾病是 (
- 关于1型糖尿病的说法正确的是A、DR3-
- 1、下列哪些辅助检查可以帮助明确诊断(
- 关于高脂血症,下列说法正确的是 (
- 甲亢性心脏病的诊断条件有 ( )
- 1、为明确诊断,针对此病人应完善下列哪些
- 抗利尿激素(ADH)的主要作用是使水分回
- 1、为明确诊断需进行下列哪项检查A、头颅
- 1、最可能的诊断是2、为明确诊断可进行3
- 1、该细菌产生的何种物质可破坏细胞膜的完
- 甲亢患者的心血管系统临床表现有 (
- 下列有关特发性醛固酮增多症描述中,错误的
- 1、治疗方案应该选择 ( )2、
- 下列哪些药物的使用可导致尿酸排泄减少,进