试题详情
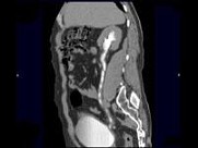
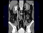
- 多项选择题男,47岁, 腰痛、腰胀2月余伴低热、乏力,结合影像资料所示, 下列哪项说法正确 ( )

A、右侧输尿管多发性狭窄,呈“串珠样”改变
B、右侧输尿管多发性生理性狭窄
C、右侧肾盂轻度积水
D、考虑为右输尿管占位病变
E、考虑为右输尿管结核
关注下方微信公众号,搜题查看答案

热门试题
- 前列腺癌CT检查的正确描述是A、前列腺内
- 1、CT检查如下图,拟诊断为
- 精原细胞瘤可发生于下述哪些部位A、睾丸最
- 女,38岁, 左腰部胀痛不适,CT平扫+
- 肾移植术后的并发症为 ( )A、血管系统
- 盆腔出血性疾病介入治疗的适应证有哪些A、
- 男,37岁, 阵发性高血压1月余,结合所
- 关于肾细胞癌的影像学诊断方法选择,哪些是
- 女,63岁, 突发性肉眼血尿伴下腹胀,无
- 在肾上腺疾病影像学检查过程中,CT检查有
- 男性,65岁。左腰部隐痛不适2个月, C
- 肾结石的典型表现为A、桑葚状B、分层状C
- 关于肾上腺皮质癌,正确的是A、50%肿瘤
- 膀胱癌X线膀胱造影表现是A、突入腔内的菜
- 女,35岁, 右侧腰部不适,CT增强扫描
- 肾盂逆流包括 ( )A、肾乳头管逆流B、
- 卵巢囊性肿瘤哪些征象提示恶性可能A、肿瘤
- 泌尿系统结核的主要X线检查方法是 ( )
- 女性,57岁。右腰部胀痛6个月余, 触及
- 男,29岁, 反复发作血尿1年余,CT如