试题详情
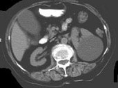
- 多项选择题女,38岁, 左腰部胀痛不适,CT平扫+增强如图所示, 下列说法正确的是 ( )



A、平扫时可见左肾一类圆形囊性病灶
B、病灶边界清晰,表面光整
C、增强扫描皮质期和实质期该病灶均未见强化
D、考虑为左肾囊性肾癌
E、考虑为左肾囊肿
关注下方微信公众号,搜题查看答案

热门试题
- 关于腹膜后淋巴结,下列叙述正确的是A、常
- 关于肾上腺皮质醇增生症的描述,正确的是A
- 肾盂逆流包括 ( )A、肾乳头管逆流B、
- 1、最可能的诊断是2、首选的影像学检查是
- 正常前列腺前肌纤维质MRI表现特点正确的
- 肾髓质钙化可见于下列哪种情况 (
- 肾阳性结石应与下列哪些病变相鉴别 (
- 关于脐尿管,正确的说法是A、闭锁的脐尿管
- 关于肾囊肿穿刺引流术,正确的有A、X线引
- 女,28岁, 阴道有异常液体流下,CT和
- 1、该患者最适合的影像学检查是2、MRI
- 1、根据症状分析,应做哪些检查2、患者做
- 尿路造影中,输尿管结核的典型表现有A、输
- 关于先天性孤立肾、一侧异位肾、一侧肾发育
- 关于子宫肌瘤的MRI检查,描述正确的是A
- 男,55岁, 尿频,尿痛伴低热乏力1月。
- 下列关于嗜铬细胞瘤的描述,正确的是A、多
- 女性,57岁。右腰部胀痛6个月余, 触及
- 1、首先应考虑的诊断为 ( )2、首选检
- 男,36岁, 反复发作的右侧腰背部疼痛伴