试题详情
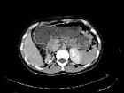
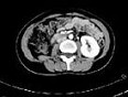
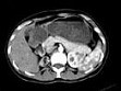
- 多项选择题女,35岁, 右侧腰部不适,CT增强扫描如图所示, 下列说法正确的是 ( )

A、右肾轮廓明显小于左侧,边缘光滑规则
B、左肾代偿性肥大
C、考虑为右小肾畸形
D、右肾完全无功能
E、考虑为右肾肾自截
关注下方微信公众号,搜题查看答案

热门试题
- 宫颈癌Ⅲ期,肿瘤的MRI表现正确的是A、
- 1986年Bosniak根据CT征象提出
- 关于肾血管平滑肌脂肪瘤的描述,正确的为A
- 男,33岁, 反复尿频,尿急, 尿痛3年
- 关于肾囊肿穿刺引流术,正确的有A、X线引
- 1、诊断深部急性乳腺炎,最重要的依据是
- 肾的异常声像图表现中,哪些是正确的A、肾
- 关于前列腺的说法正确的有A、后方借直肠膀
- 男,36岁, 反复发作的右侧腰背部疼痛伴
- 关于肾上腺转移瘤的说法,正确的是A、可为
- 关于“肾盂癌”,下列要点哪些错误 (
- 关于卵巢Krukenberg瘤的描述,正
- 1、患者可进行的影像学检查2、CT检查所
- 下列哪些是尿路梗阻的X线征象A、肾脏增大
- 关于女性正常盆腔的描述,正确的是A、耻骨
- 下列关于肾上腺良、恶性肿瘤鉴别点的描述,
- 1、在选择影像检查方法前,应先了解哪些临
- 子宫内膜癌的CT表现是( )。A、增
- 1、应该首先考虑到哪些疾病的可能(
- 女,44岁, 突发性胁腹部绞痛并向会阴部