试题详情
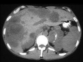
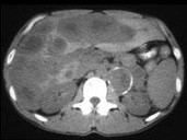
- 多项选择题男,37岁, 阵发性高血压1月余,结合所示图像, 最可能的诊断是 ( )

A、左侧肾上腺癌
B、左侧恶性嗜铬细胞瘤
C、左侧肾上腺转移癌
D、肝转移癌
E、原发性肝癌
关注下方微信公众号,搜题查看答案

热门试题
- 在膀胱肿瘤的检查方法中,MRI在以下哪几
- 正常肾上腺的MRI表现A、位于肾筋膜囊内
- 男性,65岁。左侧腰背部胀痛伴无痛性全程
- 1、选择影像检查方法前,应先了解哪些临床
- 下列哪些疾病肾盂内有充盈缺损A、肾梗死B
- 泌尿系统结核的主要X线检查方法是 ( )
- 输尿管结石易停留的部位是 ( )A、肾盂
- MRI检查肾上腺的优点是 (
- 女,28岁, 持续性腰痛加重2天,伴尿频
- 男,38岁, 进行性肾衰竭,有淋巴瘤病史
- 鞘膜积液的临床类型可分为 ( )A、睾丸
- 关于女性正常盆腔的描述,正确的是A、耻骨
- 1、选择影像检查方法前,应先了解患者哪些
- 子宫内膜癌的CT表现是( )。A、增
- 1、根据病史和影像学表现,患者最可能的诊
- 女,28岁, 阴道有异常液体流下,CT和
- 1、尿液检查对诊断有决定意义的是2、为了
- 关于腹膜后淋巴结,下列叙述正确的是A、常
- 1、该患者的诊断首先考虑为2、当病变进展
- 在泌尿系统影像学检查中,尿路造影是常用的