试题详情
- [材料题] 患者女性,57岁,右下腹痛,表现为绞痛,间断性,伴恶心、呕吐,呕吐物为胃内容物。
- 多项选择题1.在选择影像检查方法前,应先了解哪些临床信息( )
A、既往影像检查结果
B、是否有外伤
C、是否有恶性肿瘤病史
D、是否并发感染表现
E、急腹症的临床表现
F、是否能除外妊娠
关注下方微信公众号,搜题查看答案

- 多项选择题2.[提示]患者B超发现右输尿管结石,已行体外冲击波碎石两次, 无明显结石排出。进一步检查可选择的影像学方法是( )
A、腹部PET/CT
B、腹部CT平扫+增强
C、腹部CT平扫
D、腹部X线
E、腹部MRI平扫+增强
F、腹部DSA
关注下方微信公众号,搜题查看答案

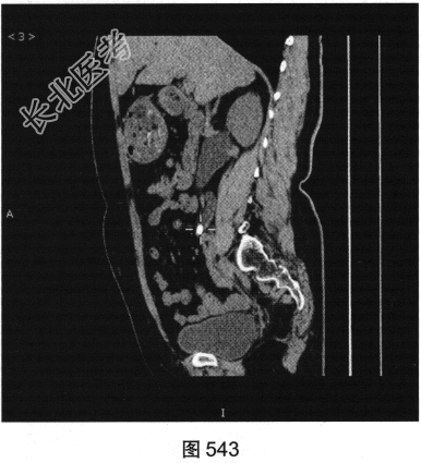
- 多项选择题3.[提示]CT平扫(图543、图544):约腰5椎体水平输尿管中段致密结节灶, 边界清楚,为0.8cm×0.5cm大小, 长轴平行于输尿管走行,边界清楚, CT值约735HU,局部输尿管管壁增厚、毛糙。应考虑的鉴别诊断为( )


A、输尿管肿瘤
B、输尿管炎症
C、输尿管血块
D、输尿管结核
E、输尿管结石
F、输尿管息肉
关注下方微信公众号,搜题查看答案

- 多项选择题4.综合患者临床和影像表现,考虑输尿管结石的可能, 还应关注下列哪些情况( )
A、集合系统梗阻情况
B、有无并发感染
C、有无集合系统发育畸形
D、有无继发肾脏改变
E、有无并发肿瘤
F、有无多发结石
关注下方微信公众号,搜题查看答案

热门试题
- 肾囊肿常用的放射诊断方法是 ( )A、腹
- 关于肾囊肿穿刺引流术,正确的有A、X线引
- 男,58岁, 尿频,尿痛伴低热乏力2月,
- 可用于肾癌栓塞的方法有 ( )A、明胶海
- 下述关于乳腺纤维腺瘤的CT表现中,描述正
- 子宫输卵管造影的适应证有哪些A、不孕症B
- 男,56岁, 无痛性全程血尿1月,CT平
- 1、最可能的疾病是2、该患者进一步检查首
- 关于卵巢Krukenberg瘤的描述,正
- 醛固酮腺瘤患者的临床表现包括A、高血压B
- 男,29岁, 反复发作血尿1年余,CT如
- 1、MR检查如下图,最可能的诊断是
- 1、在选择影像检查方法前,应先了解患者哪
- 1、该患者的诊断首先考虑为2、当病变进展
- 关于嗜铬细胞瘤的诊断方法,正确的有A、肿
- 关于腹膜后肿瘤的CT表现,正确的描述是(
- 卵巢癌增强MRI扫描,下列描述正确的是A
- 下列哪项符合卵巢恶性肿瘤的诊断依据A、肿
- 1、本例最可能的诊断为2、关于该病CT表
- 女,26岁, 临床诊断为绒毛膜癌,行经腹