试题详情
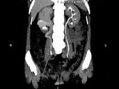
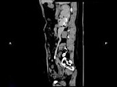
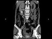
- 多项选择题女,44岁, 突发性胁腹部绞痛并向会阴部放射伴血尿一次,CT扫描如图所示, 下列说法正确的是 ( )




A、右侧肾盂肾盏扩张
B、右输尿管中上段扩张
C、右输尿管内可见沿输尿管走行的高密度影
D、右输尿管结石
E、左肾输尿管未见异常
关注下方微信公众号,搜题查看答案

热门试题
- 关于“尿路血吸虫病”的特点,错误的是
- 前列腺癌CT检查的正确描述是A、前列腺内
- 属于腹部实质性脏器的是A、肝B、肾C、胃
- 输尿管结石的并发征象包括( )A、多
- 关于腺性膀胱炎,描述正确的是A、慢性感染
- 关于肾上腺皮质癌,正确的是A、50%肿瘤
- 1、选择影像检查方法前,应先了解哪些临床
- 关于盆壁,正确的描述是( )A、不包
- 关于肾细胞癌的说法,哪些是正确的A、肿瘤
- 肾移植术前CT检查的观察要点是( )
- 当肾盂积水时,静脉肾盂造影的表现为 (
- 输尿管结石需与下列哪些病变相鉴别 (
- 正常肾上腺的MRI表现A、位于肾筋膜囊内
- 男,53岁, 无痛性血尿2个月余,CT扫
- 1、该患者最适合的影像学检查是2、MRI
- 1、根据症状分析,应做哪些检查A、X线B
- 正常肾脏SE序列T₁WI和T₂WI检查时
- 肾上腺皮质增生的MRI表现是A、双侧肾上
- 在CT横断图像上,有关子宫颈的解剖描述正
- 先天子宫发育畸形包括A、重复子宫B、半隔