试题详情
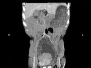
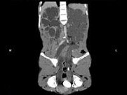
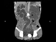
- 多项选择题男,33岁, 反复尿频,尿急, 尿痛3年余,排尿困难4月, 尿常规:蛋白(+), 红细胞0~1个/HP,白细胞(++), CT扫描如图所示,下列诊断哪项正确 ( )




A、膀胱结石
B、膀胱慢性炎性肉芽肿
C、膀胱癌
D、双侧肾积水,双侧输尿管扩张
E、膀胱多发性假性憩室
关注下方微信公众号,搜题查看答案

热门试题
- 男,72岁, 排尿困难1年余,无手术病史
- 1、最可能的诊断是2、该肿瘤最常见的病理
- 1、在选择影像检查方法前,应先了解哪些临
- 1、首先应该诊断为2、下列检查意义不大的
- 1、该例最可能的诊断是2、应与该例鉴别的
- 在CT横断图像上,有关正常卵巢和输卵管的
- 1、首先诊断2、关于该病的描述,正确的是
- 关于“肾盂癌”,下列要点哪些错误 (
- 关于先天性肾脏病变,下列说法正确的是A、
- 肾上腺皮质癌的CT表现,正确的有A、肿瘤
- 宫颈癌Ⅲ期,肿瘤的MRI表现正确的是A、
- 下列关于腹膜后脂肪肉瘤的描述,错误的是A
- 关于妊娠期滋养细胞疾病在MRI检查中的表
- 男,36岁, 反复发作的右侧腰背部疼痛伴
- 男,58岁, 尿频,尿痛伴低热乏力2月,
- 男性盆腔CT检查,能观察的是A、生殖器肿
- 妊娠中后期胎儿在MRI检查中可清晰显示的
- 下列哪些疾病肾盂内有充盈缺损A、肾梗死B
- 女性,57岁。右腰部胀痛6个月余, 触及
- 在CT横断图像上,有关子宫颈的解剖描述正