试题详情
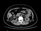
- 多项选择题男,55岁, 右腰部不适1年余,CT扫描如图所示, 下列说法正确的是 ( )



A、右肾中极可见一类圆形肿块影,肿块密度不均
B、其内见低密度脂肪影
C、其边缘清楚,与周围境界清晰
D、考虑为右肾癌
E、考虑为右肾错构瘤
关注下方微信公众号,搜题查看答案

热门试题
- 1、最可能的诊断是A、前列腺良性增生B、
- 膀胱癌X线膀胱造影表现是A、突入腔内的菜
- 肾动脉造影分为下列哪几期A、肾动脉期B、
- 1、首先要考虑的疾病是2、首选的影像学检
- 下列关于膀胱憩室的描述,正确的是A、膀胱
- 在肾盂癌的CT检查中,下列哪些描述是错误
- 下列哪些为肾上腺功能亢进性病变A、库欣综
- 下列关于肾囊肿的描述,不正确的是 (
- 女,31岁, 右侧腰部胀痛不适,MRI检
- 1、患者可进行的影像学检查2、CT检查所
- 女,38岁, 低热乏力并消瘦2月余,CT
- 醛固酮腺瘤患者的临床表现包括A、高血压B
- 下述描述正确的是A、乳腺纤维瘤和腺癌内均
- 超声检查肾脏时通常取什么体位A、站立B、
- 男,47岁, 腰痛、腰胀2月余伴低热、乏
- 女性,57岁。右腰部胀痛6个月余, 触及
- 关于男性正常盆腔的描述,正确的是A、膀胱
- 属于腹部实质性脏器的是A、肝B、肾C、胃
- 关于肾盂,正确的说法是A、最佳显影时间是
- 肾移植术后的并发症为 ( )A、血管系统